Teleradiografia
S-Medical Group Sora

INDICE

Prenota ora il tuo Esame di Teleradiografia in uno dei Centri del Medical Groupaffidati ai Migliori Specialisti.

Introduzione

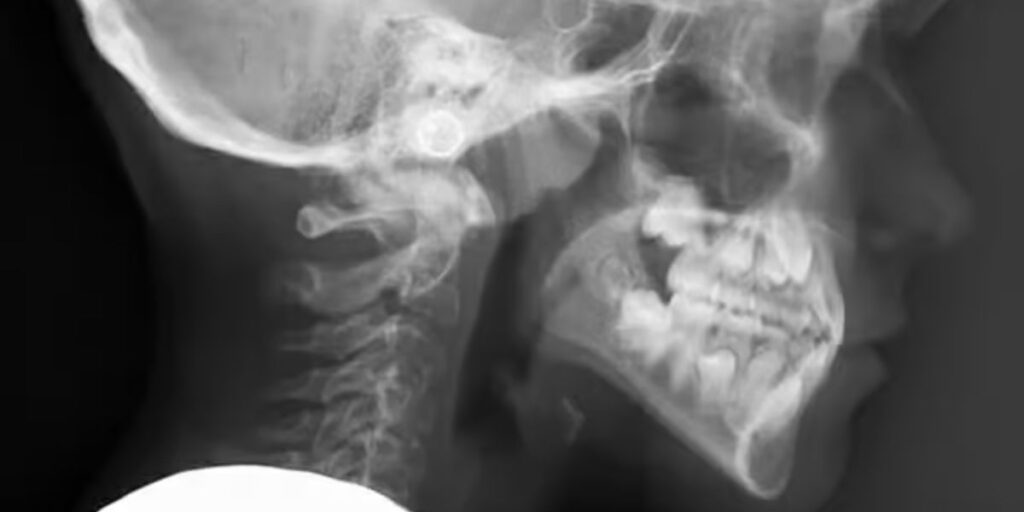
L’esame di Teleradiografia è una procedura diagnostica di fondamentale importanza nell’odontoiatria moderna. Grazie a immagini precise e dettagliate dell’apparato scheletrico facciale, questa tecnica consente ai professionisti di valutare con precisione la struttura ossea e l’allineamento dentale, facilitando diagnosi accurate e la pianificazione di trattamenti ortodontici mirati. Presso il Poliambulatorio S-Medical Group di Sora, l’esame di Teleradiografia viene eseguito con apparecchiature di ultima generazione, garantendo risultati affidabili e sicurezza per il paziente.

Cos’è l’Esame di Teleradiografia nel Poliambulatorio S-Medical Group di Sora?

L’esame di Teleradiografia è una metodologia non invasiva che utilizza raggi X a bassa intensità per catturare immagini digitali ad alta risoluzione del cranio e della cavità orale. Questa procedura è indispensabile per studiare in profondità le caratteristiche ossee e dentali, individuando eventuali anomalie o alterazioni della crescita. La precisione delle immagini ottenute rende questo esame un punto di riferimento per l’analisi ortodontica e per il monitoraggio di diverse patologie facciali.

Quali sono le finalità dell’Esame di Teleradiografia nel Poliambulatorio S-Medical Group di Sora?

L’esame di Teleradiografia ha un ampio spettro di applicazioni diagnostiche e terapeutiche, tra cui:

  • Valutazione ortodontica: consente di determinare la presenza di malocclusioni, sovrapposizioni dentali e disallineamenti mandibolari, fornendo indicazioni precise per i trattamenti ortodontici.
  • Analisi della crescita scheletrica: utile per rilevare asimmetrie facciali e per monitorare lo sviluppo delle ossa mascellari durante l’età dello sviluppo.
  • Diagnosi di patologie ossee: permette di identificare cisti, neoplasie e altre anomalie strutturali.
  • Supporto alla pianificazione chirurgica: aiuta a stabilire con maggiore accuratezza l’esecuzione di interventi ortodontici o maxillofacciali.
  • Monitoraggio post-operatorio: ideale per valutare l’efficacia dei trattamenti e per controllare il processo di guarigione.

Come viene eseguito l’Esame di Teleradiografia nel Poliambulatorio S-Medical Group di Sora?

Durante l’esame di Teleradiografia, il paziente viene invitato a posizionarsi di fronte all’apparecchiatura radiografica, che acquisisce le immagini del cranio attraverso una rotazione intorno alla testa. Questa tecnica consente di ottenere una visione completa della struttura scheletrica e dentale, essenziale per rilevare anche le minime irregolarità. L’intera procedura dura solo pochi minuti e non richiede alcun tipo di anestesia o preparazione specifica, rendendola particolarmente adatta a tutti i tipi di pazienti.

Modalità e Tecnica di Esecuzione

L’esame di Teleradiografia presso il Poliambulatorio S-Medical Group di Sora si svolge attraverso una macchina radiografica di ultima generazione, che assicura un’acquisizione ottimale delle immagini riducendo al minimo l’esposizione alle radiazioni. L’apparecchio compie una rotazione di 180° attorno al capo del paziente, registrando dati digitali tridimensionali che vengono poi elaborati per creare un’immagine dettagliata e chiara delle strutture ossee e dentali.

In quali situazioni è consigliato eseguire l’Esame di Teleradiografia?

L’esame di Teleradiografia è particolarmente indicato in casi di:

  • Preparazione ortodontica: per pianificare l’applicazione di apparecchi correttivi.
  • Studio delle disfunzioni temporomandibolari: per individuare problematiche quali dislocazioni, artriti o altri disturbi dell’articolazione temporomandibolare.
  • Valutazione di malformazioni o patologie ossee: per identificare cisti, tumori e altre alterazioni strutturali.
  • Controllo post-operatorio: per monitorare il decorso post-chirurgico e valutare l’efficacia degli interventi effettuati.

Preparazione all’Esame di Teleradiografia presso il Poliambulatorio S-Medical Group di Sora

In genere, l’esame di Teleradiografia non richiede alcuna preparazione particolare. È comunque importante informare il medico di eventuali condizioni mediche preesistenti, come la gravidanza o allergie specifiche. Al momento dell’esame, potrebbe essere necessario rimuovere oggetti metallici, come occhiali o protesi dentali rimovibili, per evitare distorsioni nelle immagini.

Convenzioni e Assicurazioni per l’Esame di Teleradiografia

Il Poliambulatorio S-Medical Group di Sora è convenzionato con numerosi fondi di assistenza sanitaria e con diverse compagnie assicurative. Per verificare la copertura del proprio piano assicurativo e le modalità di accesso all’esame di Teleradiografia, è consigliabile contattare direttamente la struttura per ottenere informazioni aggiornate e dettagliate.

Controindicazioni all’Esame di Teleradiografia

Sebbene l’esame di Teleradiografia sia generalmente sicuro e ben tollerato, esistono alcune controindicazioni, tra cui:

  • Gravidanza: in caso di gravidanza è opportuno evitare l’esposizione ai raggi X, se non strettamente necessario e solo dietro indicazione medica.
  • Allergia ai mezzi di contrasto: se l’esame prevede l’uso di un mezzo di contrasto, è essenziale informare il medico di eventuali allergie ai composti iodati.
  • Età pediatrica: nei bambini si utilizzano protocolli speciali per ridurre al minimo l’esposizione alle radiazioni.

Riposo e Precauzioni Post-Trattamento

Non è richiesto alcun riposo o precauzione speciale dopo l’esame di Teleradiografia. Una volta completata la procedura, il paziente può riprendere immediatamente le normali attività quotidiane.

Conclusioni

L’esame di Teleradiografia proposto dal Poliambulatorio S-Medical Group di Sora si distingue per la qualità delle immagini ottenute e per l’elevato standard di sicurezza. Questo esame rappresenta un pilastro fondamentale per la valutazione delle patologie dentali e ortodontiche, supportando gli specialisti nel raggiungimento di diagnosi precise e nella pianificazione di trattamenti efficaci. Per ulteriori informazioni o per prenotare una consulenza, è possibile visitare il sito ufficiale del Poliambulatorio S-Medical Group di Sora o contattare direttamente la struttura.

FAQ sull’Esame di Teleradiografia

Quanto dura l’esame di Teleradiografia?

L’esame di Teleradiografia si svolge in pochi minuti, con un tempo medio di esecuzione che varia da 5 a 10 minuti, a seconda delle esigenze diagnostiche.

Ci sono rischi legati all’esposizione ai raggi X?

L’esame di Teleradiografia utilizza una quantità molto ridotta di radiazioni, che risulta sicura per la maggior parte dei pazienti. In ogni caso, il medico valuterà attentamente l’indicazione all’esame e adotterà tutte le precauzioni necessarie per garantire la sicurezza del paziente.

L’esame di Teleradiografia è doloroso?

No, l’esame di Teleradiografia è totalmente indolore. Il paziente dovrà semplicemente mantenere la posizione per pochi secondi, senza avvertire alcun fastidio.

Quando sono disponibili i risultati?

I risultati dell’esame di Teleradiografia vengono elaborati rapidamente e solitamente possono essere discussi con il medico nel corso della visita di follow-up.

È necessario seguire una dieta particolare prima dell’esame?

Non è richiesta alcuna preparazione alimentare specifica prima dell’esame di Teleradiografia. Tuttavia, il medico potrebbe fornire indicazioni aggiuntive, se necessario.

SCEGLI UN METODO DI CONTATTO

WHATSAPP

Scrivici Siamo Disponibili
dalle 7:30 alle 20:00

NUMERO DI TELEFONO
3923417667 

TELEFONO

Chiamaci Siamo Disponibili
dalle 7:30 alle 20:00

NUMERI DI TELEFONO
07761828287
3923417667

VIA MAIL

con il numero di telefono e i dettagli della prenotazione

S-Medical Group di Sora
è convenzionato con tutte le principali Compagnie Assicurative, Fondi Sanitari Integrativi
e Casse Mutua

S-Medical Group di Sora è convenzionato con tutte le principali Compagnie Assicurative, Fondi Sanitari Integrativi e Casse Mutua

Assicurazioni e Fondi Sanitari Integrativi

Assicurazioni e Fondi Sanitari Integrativi

Sai di essere in possesso di un fondo di assistenza sanitaria integrativa?

Molti contratti collettivi lo prevedono!

Anche tu potresti già averlo e non saperlo!

Puoi accedere a prestazioni sanitarie come visite specialistiche e odontoiatriche,
esami diagnostici, fino a grandi interventi e ricoveri programmati con:

orologio.jpg

Tempi di attesa ridotti
Attraverso un servizio di consulenza, avrai accesso in maniera rapida a tutti i servizi del Medical Group

euro.jpg

Rimborso diretto o indiretto
Una modalità che ti permette di non pagare la prestazione, la terapia, e l’intervento chirurgico

relax.jpg

Consulenza personalizzata
Sono disponibili dei consulenti che supporteranno il paziente durante il suo percorso nel Medical Group

Assicurazioni e Fondi Sanitari Integrativi

Assicurazioni e Fondi Sanitari Integrativi

Sai di essere in possesso di un fondo di assistenza sanitaria integrativa?

Molti contratti collettivi lo prevedono!

Anche tu potresti già averlo e non saperlo!

Form Prenotazioni Completo Esami diagnostici