Teleradiografia Cranio per Cefalometria
S-Medical Group Sora

INDICE

Prenota ora il tuo Esame di Teleradiografia Cranio per Cefalometria in uno dei Centri del Medical Groupaffidati ai Migliori Specialisti.

Introduzione

La Teleradiografia Cranio per Cefalometria è un esame radiologico non invasivo, fondamentale per l’analisi dettagliata della struttura cranio-facciale. Questo esame è spesso utilizzato nell’ortodonzia e nella chirurgia maxillo-facciale per valutare le relazioni tra le diverse componenti scheletriche del cranio e i denti. Al Poliambulatorio S-Medical Group di Sora, l’esame viene eseguito con tecnologie di ultima generazione e sotto la supervisione di professionisti esperti, garantendo massima precisione e affidabilità.

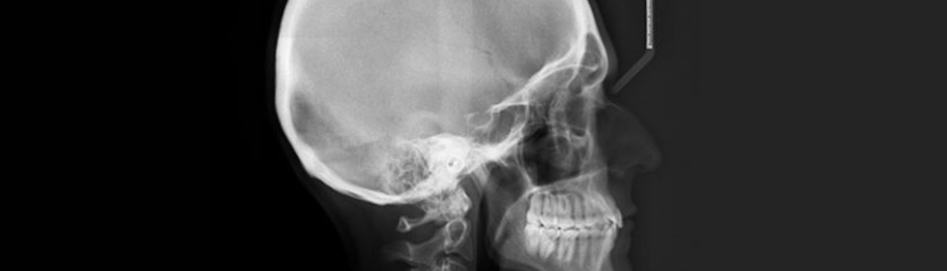
Che Cos’è la Teleradiografia Cranio per Cefalometria?

La Teleradiografia Cranio per Cefalometria è una metodica diagnostica che sfrutta le immagini radiografiche per ottenere una visione chiara e precisa delle strutture cranio-facciali. Questa tecnica è indispensabile per valutare la crescita e lo sviluppo del cranio e della mascella, fornendo dati essenziali per pianificare trattamenti ortodontici e chirurgici.

Come si Esegue un Esame di Teleradiografia Cranio per Cefalometria?

L’esame viene eseguito posizionando il paziente in piedi o seduto, con il capo stabilizzato per garantire una corretta acquisizione delle immagini. Durante l’esposizione, l’apparecchio radiologico cattura una visione panoramica del cranio e delle strutture circostanti, permettendo di misurare angoli, distanze e proporzioni che sono fondamentali per una diagnosi accurata.

Le immagini ottenute vengono successivamente elaborate con software avanzati, che aiutano a eseguire un’analisi cefalometrica dettagliata, evidenziando eventuali discrepanze scheletriche e dentali.

A Cosa Serve un Esame di Teleradiografia Cranio per Cefalometria?

Questo esame è indispensabile per diversi ambiti diagnostici e terapeutici. Tra le principali finalità troviamo:

  • Diagnosi delle malocclusioni dentarie: Permette di identificare i rapporti tra denti e ossa mascellari.
  • Pianificazione ortodontica: Fornisce una base per la progettazione di apparecchi ortodontici personalizzati.
  • Chirurgia maxillo-facciale: Consente di ottenere informazioni precise per interventi correttivi.
  • Monitoraggio della crescita cranio-facciale: Utile nei pazienti pediatrici per monitorare lo sviluppo della struttura ossea nel tempo.

Quali Sono i Vantaggi della Teleradiografia Cranio per Cefalometria?

L’esame di Teleradiografia Cranio per Cefalometria offre diversi benefici:

  1. Valutazione accurata: Fornisce informazioni dettagliate che aiutano a identificare e correggere problemi dentali e scheletrici.
  2. Sicurezza: L’esposizione alle radiazioni è minima e ben controllata, riducendo il rischio di effetti collaterali.
  3. Pianificazione ottimale: Grazie alla precisione delle immagini, permette di definire strategie terapeutiche mirate e personalizzate.

Come si Svolge l’Esame presso il Poliambulatorio S-Medical Group di Sora?

Presso il Poliambulatorio S-Medical Group di Sora, l’esame viene condotto in modo rapido e sicuro. Dopo una breve spiegazione delle fasi dell’esame, il paziente viene invitato a posizionarsi correttamente di fronte all’apparecchio radiografico. L’acquisizione delle immagini richiede solo pochi secondi e non comporta alcun dolore o fastidio. Al termine dell’esame, le immagini vengono inviate al medico per un’analisi approfondita.

Cosa si Può Rilevare con un Esame di Teleradiografia Cranio per Cefalometria?

Grazie alla Teleradiografia Cranio per Cefalometria, è possibile ottenere una valutazione dettagliata di numerosi aspetti cranio-facciali, come:

  • Posizione e inclinazione dei denti.
  • Dimensioni e forma delle arcate dentali.
  • Rapporti tra mascella e mandibola.
  • Orientamento delle ossa cranio-facciali.

Queste informazioni sono cruciali per individuare problematiche come malocclusioni, disallineamenti dentali e anomalie scheletriche.

Quali sono le Controindicazioni della Teleradiografia Cranio per Cefalometria?

In generale, l’esame è sicuro e non presenta controindicazioni rilevanti per la maggior parte dei pazienti. Tuttavia, è sconsigliato eseguire l’esame durante la gravidanza, a meno che non sia strettamente necessario. In tal caso, è fondamentale informare il personale sanitario per adottare tutte le precauzioni necessarie.

La Teleradiografia Cranio per Cefalometria è Convenzionata con i Fondi di Assistenza Sanitaria?

Sì, l’esame di Teleradiografia Cranio per Cefalometria presso il Poliambulatorio S-Medical Group di Sora può essere coperto da fondi di assistenza sanitaria o assicurazioni sanitarie. È consigliabile contattare direttamente la struttura o la propria compagnia di assicurazione per conoscere i dettagli sulla copertura e le modalità di rimborso.

Patologie Diagnosticate con la Teleradiografia Cranio per Cefalometria

L’esame è utile per diagnosticare varie patologie e alterazioni cranio-facciali, come:

  • Malocclusioni dentarie.
  • Discrepanze scheletriche tra mascella e mandibola.
  • Asimmetrie facciali.
  • Problemi di sviluppo cranio-facciale nei bambini.

    Conclusioni

    La Teleradiografia Cranio per Cefalometria è uno strumento diagnostico essenziale per ottenere una visione completa delle strutture cranio-facciali. Presso il Poliambulatorio S-Medical Group di Sora, l’esame viene eseguito con professionalità e precisione, garantendo risultati affidabili per ogni paziente. Per ulteriori informazioni o per prenotare un appuntamento, contatta il nostro team di esperti.

    FAQ sull’Esame di Teleradiografia Cranio per Cefalometria

    1. L’esame di Teleradiografia Cranio per Cefalometria è doloroso?
    No, l’esame è totalmente indolore. Il paziente deve semplicemente mantenere la posizione per pochi secondi.

    2. Quanto tempo dura l’esame?
    L’acquisizione delle immagini dura solo pochi minuti, rendendo l’esame rapido ed efficiente.

    3. Posso fare l’esame durante la gravidanza?
    In caso di gravidanza, è importante informare il medico prima di sottoporsi all’esame. La decisione verrà presa tenendo conto dei benefici e dei rischi per la salute.

    4. Quali sono le possibili complicanze dell’esame?
    Le complicanze sono estremamente rare. L’esame è considerato sicuro, ma è sempre consigliabile informare il personale medico di eventuali condizioni di salute particolari.

    5. Quali benefici offre l’esame di Teleradiografia Cranio per Cefalometria?
    L’esame fornisce informazioni dettagliate e accurate, fondamentali per la pianificazione e il monitoraggio del trattamento ortodontico e chirurgico.

SCEGLI UN METODO DI CONTATTO

WHATSAPP

Scrivici Siamo Disponibili
dalle 7:30 alle 20:00

NUMERO DI TELEFONO
3923417667 

TELEFONO

Chiamaci Siamo Disponibili
dalle 7:30 alle 20:00

NUMERI DI TELEFONO
07761828287
3923417667

VIA MAIL

con il numero di telefono e i dettagli della prenotazione

S-Medical Group di Sora
è convenzionato con tutte le principali Compagnie Assicurative, Fondi Sanitari Integrativi
e Casse Mutua

S-Medical Group di Sora è convenzionato con tutte le principali Compagnie Assicurative, Fondi Sanitari Integrativi e Casse Mutua

Assicurazioni e Fondi Sanitari Integrativi

Assicurazioni e Fondi Sanitari Integrativi

Sai di essere in possesso di un fondo di assistenza sanitaria integrativa?

Molti contratti collettivi lo prevedono!

Anche tu potresti già averlo e non saperlo!

Puoi accedere a prestazioni sanitarie come visite specialistiche e odontoiatriche,
esami diagnostici, fino a grandi interventi e ricoveri programmati con:

orologio.jpg

Tempi di attesa ridotti
Attraverso un servizio di consulenza, avrai accesso in maniera rapida a tutti i servizi del Medical Group

euro.jpg

Rimborso diretto o indiretto
Una modalità che ti permette di non pagare la prestazione, la terapia, e l’intervento chirurgico

relax.jpg

Consulenza personalizzata
Sono disponibili dei consulenti che supporteranno il paziente durante il suo percorso nel Medical Group

Assicurazioni e Fondi Sanitari Integrativi

Assicurazioni e Fondi Sanitari Integrativi

Sai di essere in possesso di un fondo di assistenza sanitaria integrativa?

Molti contratti collettivi lo prevedono!

Anche tu potresti già averlo e non saperlo!

Form Prenotazioni Completo Esami diagnostici