RX Torace
S-Medical Group Sora

INDICE

Prenota ora il tuo Esame Rx Torace in uno dei Centri del Medical Groupaffidati ai Migliori Specialisti.

Introduzione

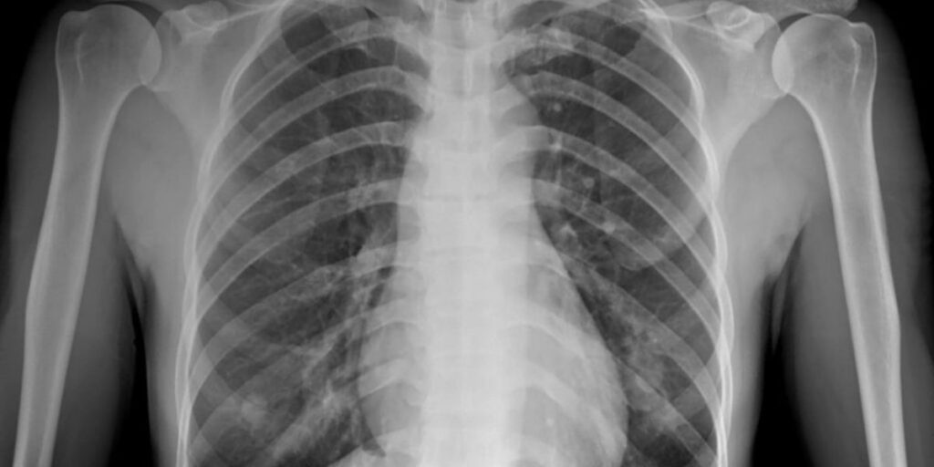
La radiografia del torace, conosciuta comunemente come RX Torace, è uno degli esami diagnostici più utilizzati per valutare la salute dei polmoni e del cuore. Presso il Poliambulatorio S-Medical Group di Sora, questo esame viene effettuato con attrezzature all’avanguardia e da tecnici radiologi altamente qualificati, per garantire la massima accuratezza e sicurezza. In questo articolo, approfondiremo il funzionamento dell’RX Torace, le principali applicazioni cliniche e tutte le informazioni utili per chi desidera effettuare questo esame presso il Poliambulatorio S-Medical Group di Sora.

Cosa si intende per RX Torace?

L’RX Torace è un esame che sfrutta le radiazioni ionizzanti per ottenere immagini dettagliate delle strutture interne del torace, inclusi i polmoni, il cuore, le ossa delle costole e il diaframma. Questo esame è essenziale per individuare anomalie e patologie come polmoniti, neoplasie, effusioni pleuriche e alterazioni cardiache. Grazie alla sua capacità di fornire immagini chiare e precise, l’RX Torace è uno strumento diagnostico indispensabile per i medici che desiderano valutare lo stato di salute del torace.

Come si esegue l’RX Torace?

L’esecuzione di un RX Torace è una procedura semplice e non invasiva. Il paziente viene posizionato davanti a un apparecchio a raggi X, di solito in posizione eretta o seduta. Durante l’esame, il paziente deve mantenere una posizione stabile e trattenere il respiro per pochi secondi mentre l’apparecchio acquisisce le immagini. Al Poliambulatorio S-Medical Group di Sora, la radiografia viene generalmente eseguita in due proiezioni: anteroposteriore (AP) e laterale, per garantire una visione completa delle strutture toraciche.

A cosa serve l’RX Torace?

L’RX Torace ha numerosi impieghi in ambito medico. È indicato principalmente per diagnosticare o escludere la presenza di patologie polmonari e cardiache. Tra le principali condizioni che possono essere identificate con l’RX Torace troviamo la polmonite, la broncopneumopatia cronica ostruttiva (BPCO), le masses tumorali e l’insufficienza cardiaca. Questo esame può anche essere utilizzato per monitorare il decorso di malattie croniche e valutare l’efficacia di trattamenti specifici.

Come funziona l’RX Torace?

Durante l’esame, una piccola dose di radiazioni ionizzanti viene diretta attraverso il torace. I tessuti con densità diversa, come le ossa e i polmoni, assorbono le radiazioni in modo differente, creando così un’immagine dettagliata che il medico radiologo utilizza per analizzare lo stato di salute del paziente. I tessuti più densi, come il cuore e le ossa, appariranno più chiari, mentre i tessuti meno densi, come i polmoni, risulteranno più scuri. Al Poliambulatorio S-Medical Group di Sora, vengono adottate tutte le misure di sicurezza per ridurre al minimo l’esposizione alle radiazioni, garantendo la massima protezione del paziente.

Cosa si può rilevare con un RX Torace?

L’RX Torace consente di visualizzare con chiarezza diverse strutture interne del torace. È possibile identificare anomalie nei polmoni, come la presenza di infezioni o tumori, valutare le dimensioni e la forma del cuore e rilevare effusioni di liquidi nella cavità pleurica. Inoltre, l’esame può rivelare fratture costali e altre alterazioni ossee, rendendolo uno strumento versatile per la diagnosi di numerose condizioni patologiche.

Esistono controindicazioni per l’RX Torace?

Nonostante l’RX Torace sia considerato un esame sicuro, esistono alcune controindicazioni. Le donne in gravidanza devono informare il personale sanitario prima di sottoporsi all’esame, poiché le radiazioni ionizzanti possono rappresentare un rischio per il feto. Presso il Poliambulatorio S-Medical Group di Sora, il personale medico adotta sempre tutte le precauzioni necessarie per garantire la sicurezza del paziente e, quando necessario, valuta soluzioni diagnostiche alternative per le donne incinte.

Come prepararsi per un RX Torace?

Per eseguire un RX Torace non è generalmente richiesta una preparazione specifica. Tuttavia, il paziente deve rimuovere qualsiasi oggetto metallico che possa interferire con l’esame, come collane, orecchini o cinture. In caso di gravidanza o allergie, è fondamentale informare il personale medico prima dell’esecuzione dell’esame.

Modalità e Tecnica di Esecuzione dell’RX Torace

La procedura dell’RX Torace presso il Poliambulatorio S-Medical Group di Sora segue un protocollo ben definito per garantire immagini di alta qualità. Il paziente viene invitato a rimuovere eventuali oggetti che potrebbero ostacolare la radiografia e viene posizionato in piedi o seduto. Durante l’esame, il paziente deve trattenere il respiro per pochi secondi, permettendo così al tecnico di acquisire immagini nitide e dettagliate delle strutture toraciche.

Quali patologie si possono identificare con l’RX Torace?

L’RX Torace è uno degli esami più efficaci per identificare patologie come:

  • Polmonite: infiammazione del tessuto polmonare dovuta a infezioni batteriche, virali o fungine.
  • Tumori polmonari: presenza di masse anomale che potrebbero indicare neoplasie benigne o maligne.
  • Effusione pleurica: accumulo di liquido nella cavità pleurica, spesso associato a infezioni o patologie cardiache.
  • Fratture costali: rottura delle ossa costali a seguito di traumi o stress fisico.
  • Cardiomegalia: ingrossamento del cuore, spesso legato a ipertensione o insufficienza cardiaca.

Con quale frequenza deve essere eseguito l’RX Torace?

La frequenza con cui è consigliato eseguire un RX Torace dipende dalle condizioni di salute del paziente e dalle indicazioni del medico. In caso di patologie croniche o malattie polmonari in fase acuta, il medico potrebbe suggerire controlli più frequenti per monitorare l’andamento della patologia e l’efficacia del trattamento.

Convenzioni per l’RX Torace presso il Poliambulatorio S-Medical Group di Sora

Presso il Poliambulatorio S-Medical Group di Sora, i servizi di RX Torace sono convenzionati con diverse assicurazioni sanitarie e fondi di assistenza sanitaria, offrendo ai pazienti la possibilità di accedere a prestazioni diagnostiche di alta qualità con costi contenuti. Prima di effettuare l’esame, è consigliabile verificare la copertura assicurativa e i dettagli della convenzione con il proprio fornitore.

Conclusioni

L’RX Torace presso il Poliambulatorio S-Medical Group di Sora rappresenta una soluzione diagnostica fondamentale per la valutazione di numerose patologie polmonari e cardiache. Affidarsi a un centro con esperienza e professionalità, come il Poliambulatorio S-Medical Group di Sora, garantisce una diagnosi accurata e un’assistenza personalizzata. Per ulteriori informazioni o per prenotare un appuntamento, contatta il centro medico direttamente.

Domande Frequenti (FAQ)

Dove si trova il Poliambulatorio S-Medical Group di Sora?
Il Poliambulatorio S-Medical Group di Sora si trova in una posizione centrale e facilmente accessibile, in Via Roma, Sora, Italia.

È necessario prenotare un appuntamento per l’RX Torace?
Sì, è consigliabile prenotare un appuntamento per evitare attese e garantire la disponibilità del personale.

Quali servizi sono offerti oltre all’RX Torace?
Il Poliambulatorio S-Medical Group di Sora offre numerosi servizi diagnostici, tra cui ecografie, esami cardiologici e consulenze specialistiche.

Quali sono gli orari di apertura?
Il centro è aperto dal lunedì al venerdì dalle 8:00 alle 19:00 e il sabato dalle 8:00 alle 13:00.

È possibile richiedere il rimborso delle spese?
La copertura delle spese dipende dalla polizza assicurativa del paziente. Si consiglia di verificare con il proprio assicuratore o contattare il centro per ulteriori dettagli.

SCEGLI UN METODO DI CONTATTO

WHATSAPP

Scrivici Siamo Disponibili
dalle 7:30 alle 20:00

NUMERO DI TELEFONO
3923417667 

TELEFONO

Chiamaci Siamo Disponibili
dalle 7:30 alle 20:00

NUMERI DI TELEFONO
07761828287
3923417667

VIA MAIL

con il numero di telefono e i dettagli della prenotazione

S-Medical Group di Sora
è convenzionato con tutte le principali Compagnie Assicurative, Fondi Sanitari Integrativi
e Casse Mutua

S-Medical Group di Sora è convenzionato con tutte le principali Compagnie Assicurative, Fondi Sanitari Integrativi e Casse Mutua

Assicurazioni e Fondi Sanitari Integrativi

Assicurazioni e Fondi Sanitari Integrativi

Sai di essere in possesso di un fondo di assistenza sanitaria integrativa?

Molti contratti collettivi lo prevedono!

Anche tu potresti già averlo e non saperlo!

Puoi accedere a prestazioni sanitarie come visite specialistiche e odontoiatriche,
esami diagnostici, fino a grandi interventi e ricoveri programmati con:

orologio.jpg

Tempi di attesa ridotti
Attraverso un servizio di consulenza, avrai accesso in maniera rapida a tutti i servizi del Medical Group

euro.jpg

Rimborso diretto o indiretto
Una modalità che ti permette di non pagare la prestazione, la terapia, e l’intervento chirurgico

relax.jpg

Consulenza personalizzata
Sono disponibili dei consulenti che supporteranno il paziente durante il suo percorso nel Medical Group

Assicurazioni e Fondi Sanitari Integrativi

Assicurazioni e Fondi Sanitari Integrativi

Sai di essere in possesso di un fondo di assistenza sanitaria integrativa?

Molti contratti collettivi lo prevedono!

Anche tu potresti già averlo e non saperlo!

Form Prenotazioni Completo Esami diagnostici