RX Tibio-Tarsica
S-Medical Group Sora

INDICE

Prenota ora il tuo Esame Rx Tibio-Tarsica in uno dei Centri del Medical Groupaffidati ai Migliori Specialisti.

Introduzione

Presso il Poliambulatorio S-Medical Group di Sora, offriamo una vasta gamma di servizi medici, tra cui esami diagnostici di alta precisione come la RX Tibio-Tarsica. In questo articolo, approfondiremo il significato, l’utilità e i vantaggi di questa procedura, che rappresenta un prezioso strumento per la diagnosi e il monitoraggio delle condizioni che coinvolgono la caviglia e il piede. Continuate a leggere per scoprire tutto ciò che c’è da sapere su questo esame e su come prenotarlo presso la nostra struttura.

Cosa Significa RX Tibio-Tarsica?

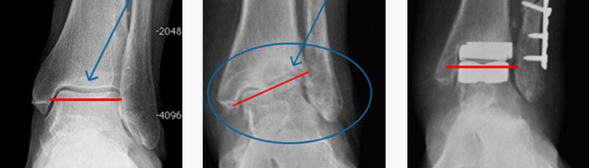
Il termine “RX” è l’abbreviazione di radiografia, un metodo diagnostico che utilizza i raggi X per ottenere immagini dettagliate delle strutture interne del corpo. Il termine “Tibio-Tarsica”, invece, si riferisce all’articolazione tra la tibia e le ossa del tarso del piede, che costituisce la base di supporto della caviglia. L’RX Tibio-Tarsica permette di analizzare in profondità le ossa e le articolazioni di quest’area, fornendo un quadro chiaro e completo per la diagnosi delle principali patologie che possono colpirla.

Cos’è l’RX Tibio-Tarsica?

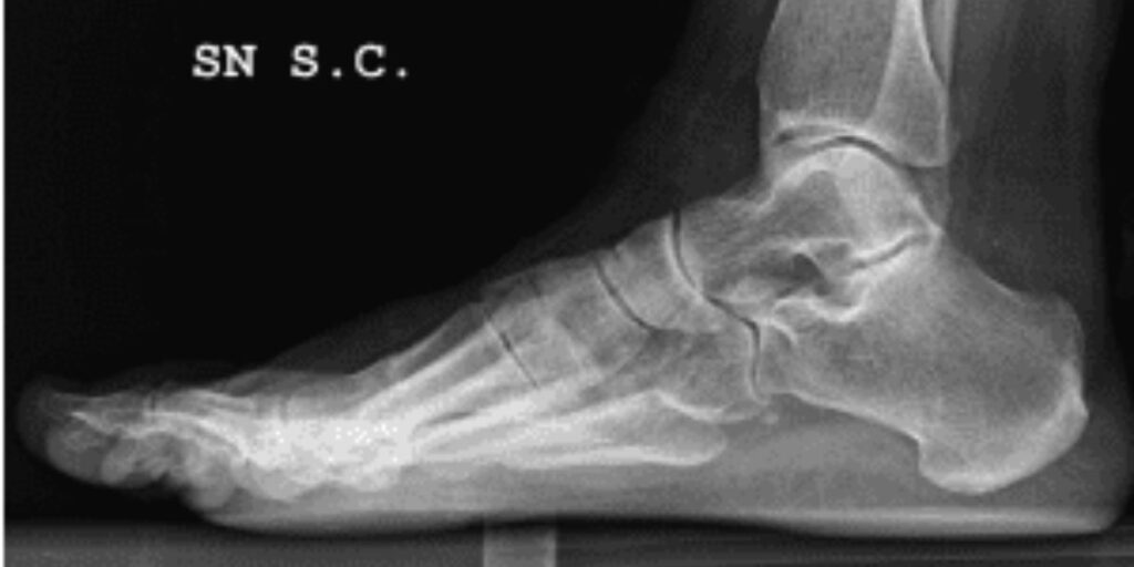
L’RX Tibio-Tarsica è una radiografia mirata all’esame delle ossa e delle articolazioni del piede e della caviglia. Questo esame sfrutta i raggi X per catturare immagini ad alta risoluzione, che mostrano eventuali anomalie come fratture, distorsioni o patologie degenerative. Grazie alla sua precisione, l’RX Tibio-Tarsica rappresenta uno degli strumenti più utilizzati per identificare problemi muscoloscheletrici e alterazioni strutturali in questa zona del corpo.

A Cosa Serve l’RX Tibio-Tarsica?

L’RX Tibio-Tarsica è indicata per l’identificazione e la valutazione di numerosi disturbi e lesioni che colpiscono la caviglia e il piede. Tra le principali condizioni diagnosticate con questo esame vi sono:

  • Fratture e microfratture delle ossa.
  • Lussazioni articolari.
  • Artrosi e artrite.
  • Tumori ossei e cisti.
  • Infezioni ossee.
  • Lesioni legamentose o tendinee.

Grazie a questo esame, i medici del Poliambulatorio S-Medical Group di Sora possono ottenere una visione dettagliata delle strutture ossee e articolari, contribuendo a identificare la causa di sintomi come dolore, gonfiore o rigidità.

Come Funziona l’RX Tibio-Tarsica?

Durante l’esame, il paziente viene posizionato in modo che la caviglia e il piede siano allineati correttamente per consentire al dispositivo a raggi X di catturare immagini nitide e dettagliate. Il tecnico radiologo guida il paziente attraverso diverse posizioni, come quella antero-posteriore e laterale, per garantire una visualizzazione completa delle strutture. L’esame dura pochi minuti ed è completamente indolore. Le immagini acquisite vengono poi analizzate dal medico per valutare la presenza di eventuali patologie.

Cosa si Può Vedere con l’RX Tibio-Tarsica?

Attraverso l’RX Tibio-Tarsica, è possibile ottenere immagini precise delle ossa e delle articolazioni della caviglia e del piede, evidenziando fratture, dislocazioni, tumori ossei e altre alterazioni strutturali. Questo esame consente ai medici di individuare con facilità la presenza di anomalie che potrebbero non essere rilevabili con altre metodiche diagnostiche.

Quali sono gli Effetti dell’RX Tibio-Tarsica sul Corpo?

L’RX Tibio-Tarsica è un esame sicuro, con una bassa esposizione ai raggi X, grazie all’utilizzo di tecnologie avanzate che minimizzano il rischio di radiazioni. Non ci sono effetti collaterali noti, ma è importante informare il medico se si è in stato di gravidanza o se si sospetta di esserlo. Presso il Poliambulatorio S-Medical Group di Sora, vengono seguite tutte le normative di sicurezza per garantire il massimo benessere dei pazienti.

Come si Svolge l’RX Tibio-Tarsica presso il Poliambulatorio S-Medical Group di Sora?

L’esame viene eseguito in un ambiente confortevole e con il supporto di personale esperto e qualificato. Prima dell’esame, il paziente viene informato su tutte le fasi della procedura e può rivolgere domande allo staff per chiarire ogni dubbio. Il nostro centro è dotato di apparecchiature moderne e ad alta definizione, che garantiscono un’acquisizione delle immagini precisa e affidabile.

Patologie Identificabili con l’RX Tibio-Tarsica

Presso il Poliambulatorio S-Medical Group di Sora, l’RX Tibio-Tarsica viene utilizzata per diagnosticare una serie di condizioni, tra cui:

  • Fratture ossee.
  • Lussazioni articolari.
  • Artrosi e artrite.
  • Deformità congenite come il piede piatto o cavo.
  • Infezioni ossee.
  • Lesioni traumatiche.

La diagnosi precoce di queste condizioni consente di intervenire tempestivamente con un trattamento adeguato, migliorando la prognosi e riducendo il rischio di complicazioni.

Quando è Necessario Effettuare un RX Tibio-Tarsica?

L’RX Tibio-Tarsica viene prescritta quando il paziente presenta sintomi persistenti come dolore, gonfiore o limitazione dei movimenti. In caso di traumi o incidenti che coinvolgono la caviglia o il piede, è uno degli esami di riferimento per verificare l’integrità delle strutture ossee e identificare eventuali lesioni.

Convenzioni con Assicurazioni e Fondi Sanitari

Il Poliambulatorio S-Medical Group di Sora collabora con numerose assicurazioni e fondi di assistenza sanitaria, offrendo la possibilità di accedere all’RX Tibio-Tarsica a condizioni agevolate. Consigliamo di verificare con il proprio piano assicurativo le specifiche modalità di copertura per questo esame.

Preparazione all’RX Tibio-Tarsica

Per la maggior parte dei pazienti, l’RX Tibio-Tarsica non richiede una preparazione particolare. Tuttavia, è sempre importante comunicare al medico se si è in stato di gravidanza o se si hanno allergie a materiali di contrasto, nel caso vengano utilizzati.

Controindicazioni per l’RX Tibio-Tarsica

Non ci sono controindicazioni specifiche per l’RX Tibio-Tarsica, ma come per tutti gli esami che utilizzano raggi X, è necessario adottare misure di sicurezza in caso di gravidanza. Il personale del Poliambulatorio S-Medical Group di Sora sarà a disposizione per valutare la situazione e garantire che l’esame venga eseguito nelle migliori condizioni di sicurezza.

Ogni Quanto è Consigliato Ripetere l’RX Tibio-Tarsica?

La frequenza degli esami dipende dalle necessità cliniche del paziente. In alcuni casi, l’RX Tibio-Tarsica può essere ripetuta periodicamente per monitorare l’evoluzione di una patologia o l’efficacia di un trattamento.

Conclusioni

Affidatevi al Poliambulatorio S-Medical Group di Sora per un servizio di diagnostica di alta qualità. L’RX Tibio-Tarsica è un esame essenziale per la valutazione della caviglia e del piede, eseguito con tecnologie all’avanguardia e da un team di professionisti qualificati. Prenotate subito il vostro esame e scoprite un servizio dedicato e professionale.

Domande Frequenti (FAQs)

Quanto tempo dura l’esame RX Tibio-Tarsica?

L’RX Tibio-Tarsica dura pochi minuti. Il nostro personale si impegna a rendere il più confortevole e rapido possibile l’intero processo, riducendo i tempi di attesa.

L’esame RX Tibio-Tarsica è doloroso?

No, l’esame è indolore. I pazienti potrebbero avvertire solo un leggero fastidio legato alla posizione da mantenere durante la procedura, ma il nostro staff sarà sempre pronto ad assistervi.

Serve una preparazione specifica per l’RX Tibio-Tarsica?

Di solito, non è richiesta alcuna preparazione particolare. Tuttavia, è consigliabile informare il personale di eventuali condizioni specifiche come la gravidanza.

L’esame è coperto dall’assicurazione sanitaria?

Sì, il Poliambulatorio S-Medical Group di Sora è convenzionato con numerose compagnie assicurative. Contattateci per maggiori informazioni sulla copertura.

Per ulteriori domande o per prenotare il vostro esame, non esitate a contattare il Poliambulatorio S-Medical Group di Sora.

SCEGLI UN METODO DI CONTATTO

WHATSAPP

Scrivici Siamo Disponibili
dalle 7:30 alle 20:00

NUMERO DI TELEFONO
3923417667 

TELEFONO

Chiamaci Siamo Disponibili
dalle 7:30 alle 20:00

NUMERI DI TELEFONO
07761828287
3923417667

VIA MAIL

con il numero di telefono e i dettagli della prenotazione

S-Medical Group di Sora
è convenzionato con tutte le principali Compagnie Assicurative, Fondi Sanitari Integrativi
e Casse Mutua

S-Medical Group di Sora è convenzionato con tutte le principali Compagnie Assicurative, Fondi Sanitari Integrativi e Casse Mutua

Assicurazioni e Fondi Sanitari Integrativi

Assicurazioni e Fondi Sanitari Integrativi

Sai di essere in possesso di un fondo di assistenza sanitaria integrativa?

Molti contratti collettivi lo prevedono!

Anche tu potresti già averlo e non saperlo!

Puoi accedere a prestazioni sanitarie come visite specialistiche e odontoiatriche,
esami diagnostici, fino a grandi interventi e ricoveri programmati con:

orologio.jpg

Tempi di attesa ridotti
Attraverso un servizio di consulenza, avrai accesso in maniera rapida a tutti i servizi del Medical Group

euro.jpg

Rimborso diretto o indiretto
Una modalità che ti permette di non pagare la prestazione, la terapia, e l’intervento chirurgico

relax.jpg

Consulenza personalizzata
Sono disponibili dei consulenti che supporteranno il paziente durante il suo percorso nel Medical Group

Assicurazioni e Fondi Sanitari Integrativi

Assicurazioni e Fondi Sanitari Integrativi

Sai di essere in possesso di un fondo di assistenza sanitaria integrativa?

Molti contratti collettivi lo prevedono!

Anche tu potresti già averlo e non saperlo!

Form Prenotazioni Completo Esami diagnostici