RX Scapola
S-Medical Group Sora

INDICE

Prenota ora il tuo Esame Rx Scapola in uno dei Centri del Medical Groupaffidati ai Migliori Specialisti.

Introduzione

Benvenuti al Poliambulatorio S-Medical Group di Sora, dove offriamo ai nostri pazienti un servizio d’eccellenza per l’esecuzione dell’RX Scapola. Questo esame radiologico rappresenta una risorsa fondamentale per valutare la salute della scapola e dell’intera spalla. In questo articolo, esploreremo nel dettaglio l’utilità dell’RX Scapola, il funzionamento, le principali patologie che può diagnosticare e le informazioni utili per chi desidera sottoporsi a questo esame presso il Poliambulatorio S-Medical Group di Sora. Continuate a leggere per scoprire come l’RX Scapola può essere di aiuto nella diagnosi e nel trattamento di diverse condizioni cliniche.

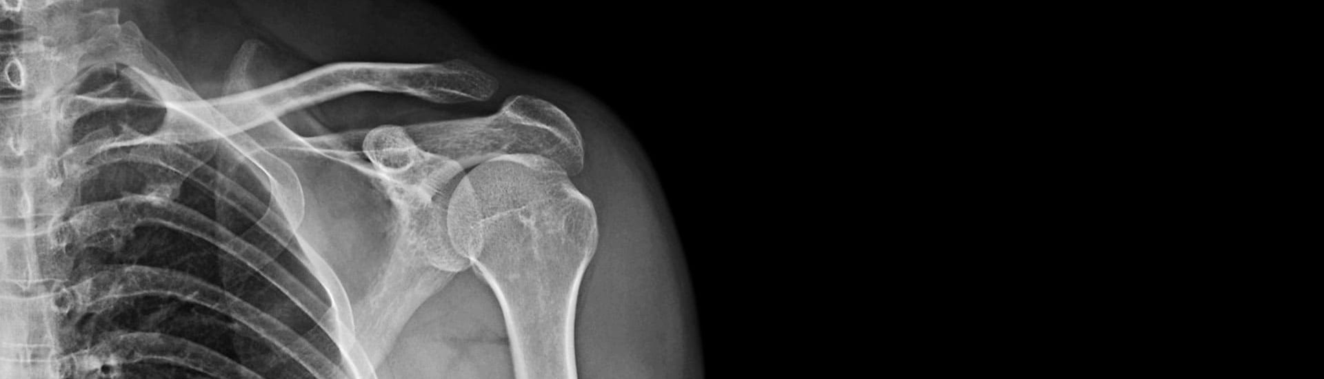
Che cos’è l’RX Scapola?

L’RX Scapola è una radiografia specifica della scapola, l’osso situato nella parte posteriore della spalla che collega l’omero alla clavicola. Questo esame radiografico utilizza una quantità minima di radiazioni per creare un’immagine dettagliata della struttura ossea, consentendo al medico di identificare eventuali anomalie o lesioni. L’RX Scapola è indicato per diagnosticare fratture, lussazioni e altre problematiche legate alla scapola e alla spalla. Grazie a questo esame, è possibile ottenere una diagnosi accurata e impostare un piano terapeutico mirato.

A cosa serve l’RX Scapola?

L’RX Scapola viene impiegato per valutare una vasta gamma di disturbi che possono colpire la spalla e l’area scapolare. È particolarmente utile per identificare:

  • Fratture della scapola
  • Lussazioni acromio-clavicolari
  • Calcificazioni
  • Lesioni tendinee
  • Processi infiammatori

Questo esame è quindi essenziale per chi soffre di dolore persistente alla spalla, limitazione nei movimenti, o sospetta una lesione ossea o muscolare. Gli specialisti del Poliambulatorio S-Medical Group di Sora valutano attentamente ogni caso per determinare se l’RX Scapola è l’opzione diagnostica più appropriata.

Come funziona l’RX Scapola?

Durante l’esame di RX Scapola, il paziente viene posizionato di fronte a un’apparecchiatura radiografica e gli viene chiesto di assumere diverse posizioni per ottenere immagini ottimali. Una volta emesse, le radiazioni attraversano la scapola e creano un’immagine bidimensionale dell’osso. Le strutture ossee assorbono le radiazioni in maniera differente rispetto ai tessuti molli circostanti, permettendo così di ottenere un’immagine dettagliata della scapola e delle sue articolazioni. Le immagini vengono poi analizzate da un radiologo del Poliambulatorio S-Medical Group di Sora per individuare eventuali patologie o anomalie.

Quali patologie si possono diagnosticare con l’RX Scapola?

L’RX Scapola è uno strumento diagnostico estremamente versatile, che consente di individuare diverse condizioni che possono interessare la scapola e l’area circostante. Tra le principali patologie che l’RX Scapola può evidenziare ci sono:

  • Fratture della scapola: lesioni che possono derivare da traumi diretti o cadute.
  • Lussazioni: dislocazioni articolari che coinvolgono l’acromion o la clavicola.
  • Calcificazioni: depositi di calcio che si formano nei tendini o nelle articolazioni, causando dolore e limitazione dei movimenti.
  • Artrosi: deterioramento della cartilagine che ricopre le articolazioni, spesso legato all’invecchiamento o a stress articolare ripetuto.
  • Lesioni tendinee e muscolari: strappi o infiammazioni che coinvolgono i tessuti molli.

Quando è indicato l’RX Scapola?

L’esecuzione dell’RX Scapola è indicata in presenza di dolore persistente alla spalla, rigidità articolare o sospette fratture. Questo esame è raccomandato dal medico anche in caso di infortuni sportivi, cadute, o se si sospetta un’infiammazione o un’infezione a livello articolare. Presso il Poliambulatorio S-Medical Group di Sora, gli specialisti valuteranno attentamente i sintomi e la storia clinica del paziente per decidere se è necessario sottoporsi all’RX Scapola.

Preparazione per l’RX Scapola

Di solito, per eseguire l’RX Scapola non è richiesta una preparazione specifica. Tuttavia, è importante che il paziente informi il tecnico radiologo se è in stato di gravidanza o sospetta di esserlo, per adottare tutte le precauzioni necessarie e ridurre l’esposizione alle radiazioni. In caso di allergie o reazioni avverse a esami precedenti, è altrettanto importante informare il personale del Poliambulatorio S-Medical Group di Sora.

Controindicazioni dell’RX Scapola

L’RX Scapola è generalmente sicuro e ben tollerato, ma è sconsigliato in caso di gravidanza, a meno che non ci siano indicazioni cliniche precise che giustifichino l’esecuzione dell’esame. Prima di procedere, il medico del Poliambulatorio S-Medical Group di Sora valuterà i benefici e i potenziali rischi per garantire la massima sicurezza.

Convenzioni e copertura assicurativa

Il Poliambulatorio S-Medical Group di Sora è convenzionato con numerosi fondi di assistenza sanitaria e assicurazioni. Consigliamo di contattare la nostra struttura o il proprio assicuratore per verificare la copertura dell’RX Scapola e le modalità di rimborso. Il nostro personale sarà lieto di fornire tutte le informazioni necessarie e assistervi nelle procedure amministrative.

Come si svolge l’RX Scapola?

L’RX Scapola viene eseguito presso il Poliambulatorio S-Medical Group di Sora in un ambiente confortevole e sicuro. Il paziente viene posizionato di fronte all’apparecchio radiografico e gli viene chiesto di rimanere immobile durante l’acquisizione delle immagini. Il tecnico radiologo può richiedere al paziente di assumere diverse posizioni per ottenere un’immagine completa della scapola. Una volta completato l’esame, le immagini verranno analizzate da un radiologo esperto che elaborerà un referto dettagliato.

Conclusioni

L’RX Scapola presso il Poliambulatorio S-Medical Group di Sora è un esame diagnostico di fondamentale importanza per valutare la salute della scapola e della spalla. Grazie a questo esame, è possibile individuare con precisione fratture, lesioni, calcificazioni e altre anomalie, fornendo un supporto indispensabile per la diagnosi e il trattamento delle patologie articolari. Affidatevi all’esperienza e alla competenza del nostro poliambulatorio per ottenere una diagnosi accurata e un’assistenza sanitaria di alto livello.

Domande Frequenti (FAQs)

Quanto dura un RX Scapola?
L’RX Scapola richiede pochi minuti per essere eseguito. Il personale del Poliambulatorio S-Medical Group di Sora si impegna a garantire un’esperienza rapida e confortevole per tutti i pazienti.

L’RX Scapola è coperto dalle assicurazioni?
Sì, il Poliambulatorio S-Medical Group di Sora è convenzionato con diverse assicurazioni sanitarie e fondi di assistenza sanitaria. Consigliamo di contattare la struttura o il proprio assicuratore per verificare la copertura e le modalità di rimborso.

Quali sono i rischi dell’RX Scapola?
L’esposizione alle radiazioni durante l’RX Scapola è minima e non comporta rischi significativi per la salute. Tuttavia, è importante informare il radiologo in caso di gravidanza o se si hanno preoccupazioni specifiche.

SCEGLI UN METODO DI CONTATTO

WHATSAPP

Scrivici Siamo Disponibili
dalle 7:30 alle 20:00

NUMERO DI TELEFONO
3923417667 

TELEFONO

Chiamaci Siamo Disponibili
dalle 7:30 alle 20:00

NUMERI DI TELEFONO
07761828287
3923417667

VIA MAIL

con il numero di telefono e i dettagli della prenotazione

S-Medical Group di Sora
è convenzionato con tutte le principali Compagnie Assicurative, Fondi Sanitari Integrativi
e Casse Mutua

S-Medical Group di Sora è convenzionato con tutte le principali Compagnie Assicurative, Fondi Sanitari Integrativi e Casse Mutua

Assicurazioni e Fondi Sanitari Integrativi

Assicurazioni e Fondi Sanitari Integrativi

Sai di essere in possesso di un fondo di assistenza sanitaria integrativa?

Molti contratti collettivi lo prevedono!

Anche tu potresti già averlo e non saperlo!

Puoi accedere a prestazioni sanitarie come visite specialistiche e odontoiatriche,
esami diagnostici, fino a grandi interventi e ricoveri programmati con:

orologio.jpg

Tempi di attesa ridotti
Attraverso un servizio di consulenza, avrai accesso in maniera rapida a tutti i servizi del Medical Group

euro.jpg

Rimborso diretto o indiretto
Una modalità che ti permette di non pagare la prestazione, la terapia, e l’intervento chirurgico

relax.jpg

Consulenza personalizzata
Sono disponibili dei consulenti che supporteranno il paziente durante il suo percorso nel Medical Group

Assicurazioni e Fondi Sanitari Integrativi

Assicurazioni e Fondi Sanitari Integrativi

Sai di essere in possesso di un fondo di assistenza sanitaria integrativa?

Molti contratti collettivi lo prevedono!

Anche tu potresti già averlo e non saperlo!

Form Prenotazioni Completo Esami diagnostici