RX Rachide Completo
S-Medical Group Sora

INDICE

Prenota ora il tuo Esame Rx Rachide Completo in uno dei Centri del Medical Groupaffidati ai Migliori Specialisti.

 

Introduzione

Il Poliambulatorio S-Medical Group di Sora è un punto di riferimento per l’esecuzione di esami radiologici e diagnostici di alta qualità. Tra i servizi più richiesti, l’Esame RX Rachide Completo si distingue per la sua capacità di fornire una visione approfondita e dettagliata dell’intera colonna vertebrale. Se desideri un’analisi completa della tua salute spinale, questo esame è ciò che fa per te. Scopri come funziona, quali patologie può individuare e come prenotare il tuo appuntamento presso la nostra struttura.

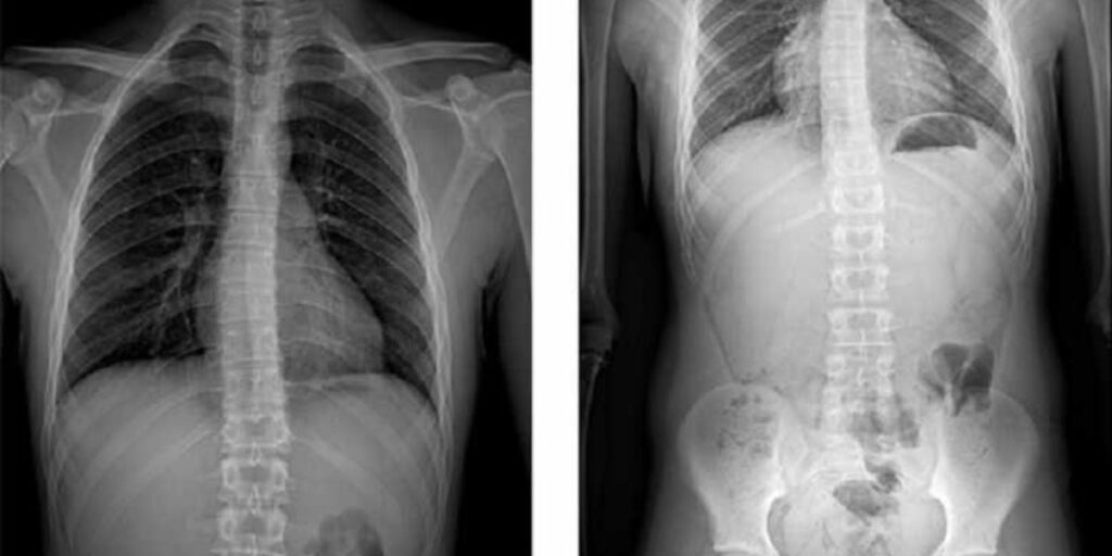
Che cos’è l’Esame RX Rachide Completo?

L’Esame RX Rachide Completo è una radiografia specifica che cattura immagini dei segmenti cervicale, toracico e lombare della colonna vertebrale. Presso il Poliambulatorio S-Medical Group di Sora, questo esame viene eseguito con strumentazione all’avanguardia per garantire una diagnosi accurata e precisa. Le immagini radiografiche ottenute permettono ai nostri specialisti di analizzare l’intera colonna vertebrale, evidenziando eventuali anomalie o problematiche.

A cosa serve l’Esame RX Rachide Completo?

L’Esame RX Rachide Completo è indicato per valutare una vasta gamma di condizioni e patologie che possono interessare la colonna vertebrale. Tra le principali applicazioni, troviamo:

  • Identificazione di fratture vertebrali dovute a traumi o incidenti.
  • Valutazione della scoliosi e di altre curvature anomale.
  • Rilevazione di ernie del disco che possono comprimere le radici nervose.
  • Diagnosi di osteoartrite e di altre malattie degenerative delle articolazioni.
  • Verifica di malformazioni congenite o anomalie strutturali.
  • Monitoraggio di tumori spinali e di infezioni vertebrali.

Come si esegue l’Esame RX Rachide Completo al Poliambulatorio S-Medical Group di Sora?

Quando ti sottoponi a un Esame RX Rachide Completo presso il nostro centro, sarai seguito da un team di tecnici esperti che ti guideranno durante l’intera procedura. L’esame prevede di essere posizionato in modo tale da ottenere immagini dettagliate e accurate della colonna vertebrale. Le nostre apparecchiature moderne e i protocolli aggiornati ci permettono di ridurre al minimo i tempi di esposizione ai raggi X, garantendo un’esperienza sicura e confortevole.

Cosa si può vedere con un Esame RX Rachide Completo?

Le immagini radiografiche fornite dall’Esame RX Rachide Completo consentono di valutare la salute della struttura ossea della colonna vertebrale. È possibile identificare:

  • Fratture vertebrali.
  • Disallineamenti o deformità della colonna.
  • Ernie del disco.
  • Problemi articolari come l’osteoartrite.
  • Anomalie congenite o acquisiti nel tempo.

Grazie a queste informazioni, i nostri medici possono pianificare il percorso terapeutico più adatto a ogni paziente.

Effetti dell’Esame RX Rachide Completo sul corpo

L’Esame RX Rachide Completo utilizza radiazioni ionizzanti a basso dosaggio, che vengono applicate in modo sicuro e controllato. Il nostro obiettivo è quello di ottenere immagini chiare riducendo al minimo l’esposizione ai raggi X. Per garantire la sicurezza dei nostri pazienti, adottiamo sempre le migliori pratiche radiologiche, minimizzando i rischi legati all’esposizione.

Quando è necessario sottoporsi a un Esame RX Rachide Completo?

L’Esame RX Rachide Completo è consigliato in numerose circostanze, come:

  • Dolore persistente alla schiena o al collo.
  • Presenza di deformità visibili o problemi posturali.
  • Traumi recenti o sospetti di fratture vertebrali.
  • Controllo della scoliosi o altre anomalie della colonna vertebrale.
  • Monitoraggio di condizioni croniche.

Il medico valuterà la necessità di eseguire l’esame in base ai sintomi presentati e alla storia clinica del paziente.

Diagnosi ottenibili con l’Esame RX Rachide Completo

Presso il Poliambulatorio S-Medical Group di Sora, l’Esame RX Rachide Completo è uno strumento diagnostico fondamentale per valutare diverse condizioni spinali, tra cui:

  • Fratture vertebrali e lesioni ossee.
  • Scoliosi e altre curvature anomale.
  • Ernie del disco.
  • Osteoartrite e degenerazione articolare.
  • Tumori spinali.
  • Infezioni della colonna vertebrale.

Convenzioni e coperture assicurative per l’Esame RX Rachide Completo

Il Poliambulatorio S-Medical Group di Sora è convenzionato con numerosi fondi di assistenza sanitaria e assicurazioni. Consigliamo sempre di verificare la copertura con il proprio ente di riferimento prima di fissare un appuntamento. Il nostro staff è a disposizione per fornire tutte le informazioni necessarie riguardo a eventuali costi aggiuntivi o modalità di rimborso.

Preparazione per l’Esame RX Rachide Completo

L’Esame RX Rachide Completo non richiede particolari preparazioni. Tuttavia, è consigliato indossare abiti comodi e rimuovere eventuali oggetti metallici che potrebbero interferire con la qualità delle immagini. In caso di domande o dubbi, il nostro personale sarà lieto di fornirti indicazioni dettagliate al momento della prenotazione.

Controindicazioni e avvertenze

L’Esame RX Rachide Completo è sicuro e generalmente ben tollerato. Tuttavia, è controindicato in caso di gravidanza, a meno che non sia strettamente necessario e prescritto dal medico. In tal caso, è fondamentale informare il personale prima di eseguire l’esame.

Conclusioni

Il Poliambulatorio S-Medical Group di Sora offre un servizio di eccellenza per l’esecuzione dell’Esame RX Rachide Completo. Grazie all’impiego di tecnologie avanzate e alla professionalità del nostro team, garantiamo un’esperienza diagnostica completa e accurata. Se stai cercando un centro specializzato per la valutazione della tua colonna vertebrale, ti invitiamo a prenotare una visita presso il nostro poliambulatorio. Siamo a tua disposizione per offrirti il miglior supporto medico possibile.

Domande Frequenti (FAQs)

  1. Quanto dura un Esame RX Rachide Completo presso il Poliambulatorio S-Medical Group di Sora?
    L’esame ha una durata di pochi minuti, ma può variare in base alla complessità del caso.

  2. Come posso prenotare un appuntamento per l’Esame RX Rachide Completo?
    È possibile prenotare contattando direttamente il Poliambulatorio S-Medical Group di Sora o utilizzando il modulo di contatto online.

  3. Quali altri servizi offre il Poliambulatorio S-Medical Group di Sora?
    Offriamo numerosi servizi diagnostici, tra cui ecografie, risonanze magnetiche e TAC.

  4. Qual è l’indirizzo del Poliambulatorio S-Medical Group di Sora?
    La nostra sede è in Via Armando Fabi 41, Sora.

  5. Come posso contattare il Poliambulatorio S-Medical Group di Sora per ulteriori informazioni?
    Puoi chiamare il numero 0775 487906 o 370 325 1275 per ricevere assistenza e prenotare il tuo esame.

Affidati alla competenza del Poliambulatorio S-Medical Group di Sora per la tua salute spinale!

SCEGLI UN METODO DI CONTATTO

WHATSAPP

Scrivici Siamo Disponibili
dalle 7:30 alle 20:00

NUMERO DI TELEFONO
3923417667 

TELEFONO

Chiamaci Siamo Disponibili
dalle 7:30 alle 20:00

NUMERI DI TELEFONO
07761828287
3923417667

VIA MAIL

con il numero di telefono e i dettagli della prenotazione

S-Medical Group di Sora
è convenzionato con tutte le principali Compagnie Assicurative, Fondi Sanitari Integrativi
e Casse Mutua

S-Medical Group di Sora è convenzionato con tutte le principali Compagnie Assicurative, Fondi Sanitari Integrativi e Casse Mutua

Assicurazioni e Fondi Sanitari Integrativi

Assicurazioni e Fondi Sanitari Integrativi

Sai di essere in possesso di un fondo di assistenza sanitaria integrativa?

Molti contratti collettivi lo prevedono!

Anche tu potresti già averlo e non saperlo!

Puoi accedere a prestazioni sanitarie come visite specialistiche e odontoiatriche,
esami diagnostici, fino a grandi interventi e ricoveri programmati con:

orologio.jpg

Tempi di attesa ridotti
Attraverso un servizio di consulenza, avrai accesso in maniera rapida a tutti i servizi del Medical Group

euro.jpg

Rimborso diretto o indiretto
Una modalità che ti permette di non pagare la prestazione, la terapia, e l’intervento chirurgico

relax.jpg

Consulenza personalizzata
Sono disponibili dei consulenti che supporteranno il paziente durante il suo percorso nel Medical Group

Assicurazioni e Fondi Sanitari Integrativi

Assicurazioni e Fondi Sanitari Integrativi

Sai di essere in possesso di un fondo di assistenza sanitaria integrativa?

Molti contratti collettivi lo prevedono!

Anche tu potresti già averlo e non saperlo!

Form Prenotazioni Completo Esami diagnostici