RX Polso
S-Medical Group Sora

INDICE

Prenota ora il tuo Esame Rx Polso in uno dei Centri del Medical Groupaffidati ai Migliori Specialisti.

Introduzione

Il Poliambulatorio S-Medical Group di Sora si distingue per offrire servizi sanitari completi e di alta qualità. In questo articolo esploreremo l’importanza dell’esame RX Polso, un’indagine diagnostica essenziale per rilevare e monitorare diverse patologie che interessano l’articolazione del polso. Scopriamo insieme come questo esame viene eseguito, quando è consigliato e quali sono i principali vantaggi offerti dalla nostra struttura.

Cos’è l’RX Polso?

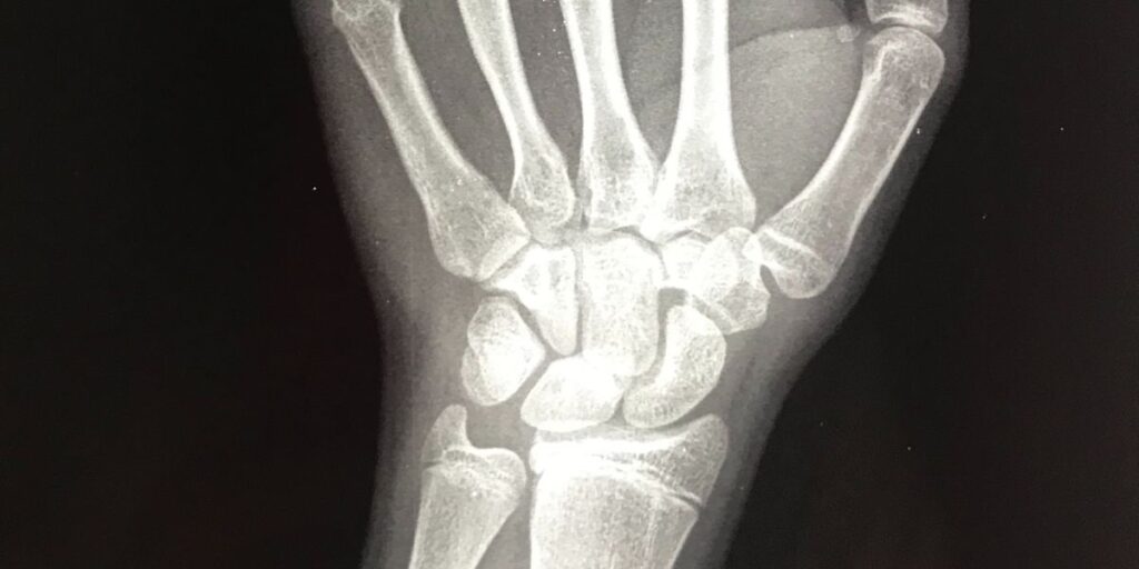
L’RX Polso, conosciuto anche come radiografia del polso, è un esame diagnostico che sfrutta i raggi X per produrre immagini dettagliate dell’area interessata. Presso il Poliambulatorio S-Medical Group di Sora, questo esame viene effettuato da tecnici radiologi altamente qualificati, utilizzando apparecchiature di ultima generazione che garantiscono immagini precise e di alta qualità. L’esame consente di individuare con esattezza eventuali anomalie ossee e articolari.

Qual è l’Utilità dell’RX Polso?

L’esame RX Polso è uno strumento fondamentale per diagnosticare patologie del polso quali fratture, distorsioni, lussazioni, artrite e altre condizioni che possono compromettere la funzionalità dell’articolazione. Al Poliambulatorio S-Medical Group di Sora, grazie alla precisione dell’esame e alla professionalità del team, è possibile stabilire un percorso terapeutico mirato per ogni paziente, garantendo diagnosi tempestive e trattamenti efficaci.

Come si Svolge un RX Polso?

Durante un esame RX Polso, il paziente viene posizionato in modo da ottenere immagini nitide e dettagliate. Il polso viene esposto ai raggi X per pochi secondi, mentre il tecnico radiologo controlla l’apparecchiatura e cattura le immagini necessarie. Questo processo rapido e indolore permette ai medici del Poliambulatorio S-Medical Group di Sora di visualizzare con precisione la struttura ossea e articolare, individuando possibili problematiche e pianificando la terapia più adeguata.

Cosa si Può Osservare con un RX Polso?

Attraverso l’RX Polso, è possibile ottenere una visualizzazione accurata delle ossa, delle articolazioni e delle altre strutture presenti nell’area del polso. Le immagini prodotte evidenziano eventuali fratture, deformazioni o segni di degenerazione articolare, rendendo l’esame essenziale per una diagnosi completa e dettagliata. Al Poliambulatorio S-Medical Group di Sora, le immagini radiografiche vengono analizzate attentamente dai medici per identificare con chiarezza la natura del problema.

Quali Sono gli Effetti dell’RX Polso sul Corpo?

L’esame RX Polso utilizza una dose minima di radiazioni ionizzanti per creare immagini dell’area interessata. Al Poliambulatorio S-Medical Group di Sora, la sicurezza dei pazienti è al primo posto: tutte le procedure vengono svolte nel rispetto delle normative di sicurezza per ridurre al minimo l’esposizione. Le dosi di radiazione utilizzate sono considerate sicure e non comportano rischi significativi per la salute, garantendo così un esame affidabile e privo di effetti collaterali.

Come Funziona il Trasferimento Energetico durante un RX Polso?

Durante l’RX Polso, i raggi X attraversano i tessuti del polso e interagiscono con le diverse strutture interne. Questo processo di interazione permette ai raggi di trasferire energia ai tessuti, che viene poi catturata sotto forma di immagine radiografica. Le immagini risultanti offrono una visione chiara e dettagliata delle ossa e delle articolazioni, permettendo ai medici del Poliambulatorio S-Medical Group di Sora di valutare con precisione la situazione clinica del paziente.

Quando è Consigliato Effettuare un RX Polso?

L’RX Polso è indicato in presenza di dolore persistente, gonfiore, limitazioni di movimento o dopo traumi che possono aver compromesso l’articolazione del polso. Al Poliambulatorio S-Medical Group di Sora, i medici raccomandano questo esame quando sospettano la presenza di fratture, lesioni o patologie come l’artrite. Grazie all’utilizzo dell’RX Polso, è possibile ottenere una diagnosi precisa e impostare il miglior percorso di trattamento.

RX Polso e Convenzioni Assicurative

Il Poliambulatorio S-Medical Group di Sora offre l’RX Polso come servizio convenzionato con diverse assicurazioni sanitarie e fondi di assistenza sanitaria. È possibile verificare la copertura del proprio piano assicurativo direttamente presso il nostro poliambulatorio o contattando la propria compagnia assicurativa. In questo modo, i pazienti possono accedere all’esame senza preoccupazioni, sapendo di poter contare su un servizio di alta qualità.

Preparazione all’Esame RX Polso

Di norma, non è richiesta una preparazione specifica per sottoporsi a un RX Polso. Tuttavia, se la paziente è in stato di gravidanza o sospetta di esserlo, è importante informare il medico o il tecnico radiologo prima di procedere. Inoltre, è consigliabile rimuovere eventuali oggetti metallici, come gioielli o accessori, per evitare interferenze con le immagini radiografiche.

Patologie Diagnosticate tramite RX Polso

L’RX Polso è utilizzato per diagnosticare una vasta gamma di patologie che coinvolgono il polso, tra cui fratture, distorsioni, lussazioni, artrite e artrosi. Presso il Poliambulatorio S-Medical Group di Sora, gli specialisti sono in grado di analizzare in profondità ogni immagine per identificare le problematiche e fornire un percorso terapeutico personalizzato e mirato alle esigenze del paziente.

Controindicazioni per l’Esecuzione di un RX Polso

L’RX Polso è un esame sicuro e ben tollerato dalla maggior parte dei pazienti. Tuttavia, è importante considerare alcune controindicazioni. Se si è in gravidanza, è necessario informare il medico prima dell’esame, poiché l’esposizione ai raggi X potrebbe rappresentare un rischio per il feto. In presenza di allergie o ipersensibilità ai mezzi di contrasto, se richiesti, è fondamentale informare preventivamente il personale medico.

Conclusioni

Il Poliambulatorio S-Medical Group di Sora è il punto di riferimento per chi necessita di esami RX Polso eseguiti con professionalità e precisione. Grazie all’impiego di tecnologie avanzate e a un team di specialisti esperti, offriamo un servizio completo per la diagnosi e il trattamento delle patologie del polso, garantendo al paziente un percorso di cura efficace e personalizzato.

Domande Frequenti

Quanto Dura un Esame RX Polso?

L’esecuzione di un RX Polso richiede pochi minuti. La durata complessiva può variare in base alla complessità del caso e al numero di immagini richieste.

È Possibile Eseguire un RX Polso in Caso di Gravidanza?

Se si è incinta o si sospetta di esserlo, è essenziale informare il medico o il tecnico radiologo prima dell’esame. Verranno adottate tutte le misure di sicurezza necessarie per proteggere il feto.

Quali Patologie del Polso Possono Essere Diagnosticati con un RX Polso?

L’RX Polso è indicato per diagnosticare fratture, distorsioni, lussazioni, artrite, artrosi e altre condizioni articolari.

Come Posso Prenotare un RX Polso presso il Poliambulatorio S-Medical Group di Sora?

Per prenotare un esame RX Polso presso il Poliambulatorio S-Medical Group di Sora, puoi visitare il nostro sito web o contattarci telefonicamente. Siamo a disposizione per fornire informazioni e supporto nella prenotazione dell’esame.

SCEGLI UN METODO DI CONTATTO

WHATSAPP

Scrivici Siamo Disponibili
dalle 7:30 alle 20:00

NUMERO DI TELEFONO
3923417667 

TELEFONO

Chiamaci Siamo Disponibili
dalle 7:30 alle 20:00

NUMERI DI TELEFONO
07761828287
3923417667

VIA MAIL

con il numero di telefono e i dettagli della prenotazione

S-Medical Group di Sora
è convenzionato con tutte le principali Compagnie Assicurative, Fondi Sanitari Integrativi
e Casse Mutua

S-Medical Group di Sora è convenzionato con tutte le principali Compagnie Assicurative, Fondi Sanitari Integrativi e Casse Mutua

Assicurazioni e Fondi Sanitari Integrativi

Assicurazioni e Fondi Sanitari Integrativi

Sai di essere in possesso di un fondo di assistenza sanitaria integrativa?

Molti contratti collettivi lo prevedono!

Anche tu potresti già averlo e non saperlo!

Puoi accedere a prestazioni sanitarie come visite specialistiche e odontoiatriche,
esami diagnostici, fino a grandi interventi e ricoveri programmati con:

orologio.jpg

Tempi di attesa ridotti
Attraverso un servizio di consulenza, avrai accesso in maniera rapida a tutti i servizi del Medical Group

euro.jpg

Rimborso diretto o indiretto
Una modalità che ti permette di non pagare la prestazione, la terapia, e l’intervento chirurgico

relax.jpg

Consulenza personalizzata
Sono disponibili dei consulenti che supporteranno il paziente durante il suo percorso nel Medical Group

Assicurazioni e Fondi Sanitari Integrativi

Assicurazioni e Fondi Sanitari Integrativi

Sai di essere in possesso di un fondo di assistenza sanitaria integrativa?

Molti contratti collettivi lo prevedono!

Anche tu potresti già averlo e non saperlo!

Form Prenotazioni Completo Esami diagnostici