RX Gomito
S-Medical Group Sora

INDICE

Prenota ora il tuo Esame Rx Gomito in uno dei Centri del Medical Groupaffidati ai Migliori Specialisti.

Introduzione

Hai bisogno di eseguire un RX Gomito e desideri scoprire come funziona e quali benefici può offrire? Presso il Poliambulatorio S-Medical Group di Sora, ci impegniamo a garantire esami radiologici di alta qualità per un’accurata diagnosi delle problematiche che coinvolgono l’articolazione del gomito. In questo articolo, esploreremo in modo dettagliato tutte le informazioni necessarie per aiutarti a comprendere al meglio questo tipo di esame diagnostico.

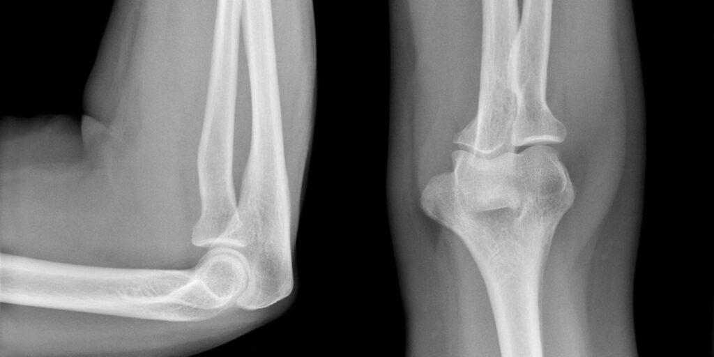
Cos’è l’RX Gomito e a cosa serve?

L’RX Gomito, conosciuto anche come radiografia del gomito, è un esame radiologico che utilizza i raggi X per ottenere immagini dettagliate delle ossa del gomito. Questa procedura permette ai medici di individuare lesioni, fratture e altre anomalie, fornendo una visione completa dell’articolazione. Al Poliambulatorio S-Medical Group di Sora, ci avvaliamo di tecnologie avanzate e specialisti esperti per offrire un servizio diagnostico di altissima precisione.

Quando è indicato sottoporsi a un RX Gomito?

L’esame RX Gomito è particolarmente indicato in presenza di sintomi come dolore persistente, gonfiore, riduzione della mobilità articolare o sospetto di traumi pregressi. I principali motivi per cui il medico potrebbe prescriverti un RX Gomito includono:

  • Valutazione di fratture e lussazioni
  • Identificazione di alterazioni legate a artrite o artrosi
  • Diagnosi di infiammazioni come borsite o tendinite
  • Monitoraggio di patologie degenerative o infettive che coinvolgono l’articolazione

Come si svolge un RX Gomito al Poliambulatorio S-Medical Group di Sora?

Durante un esame RX Gomito, il paziente viene guidato da un tecnico radiologo a posizionare il braccio in modo da ottenere immagini dettagliate e complete. Presso il Poliambulatorio S-Medical Group di Sora, l’esame si svolge in pochi minuti e non richiede preparazioni particolari. Le proiezioni radiografiche ottenute vengono poi analizzate dai nostri radiologi per individuare eventuali problematiche e per fornire una diagnosi precisa.

Cosa è possibile visualizzare con un RX Gomito?

Grazie a un RX Gomito è possibile visualizzare chiaramente le strutture ossee che compongono l’articolazione, tra cui ulna, radio e omero. Questo esame permette di identificare con precisione:

  • Fratture e microfratture
  • Lussazioni o dislocazioni
  • Segni di artrite o artrosi
  • Calcificazioni e depositi minerali anomali
  • Alterazioni ossee dovute a condizioni degenerative

Il Poliambulatorio S-Medical Group di Sora si avvale di macchinari all’avanguardia, garantendo immagini nitide e dettagliate per una valutazione accurata.

Quali sono i vantaggi di un RX Gomito?

L’RX Gomito offre diversi vantaggi, tra cui:

  • Rapidità nell’esecuzione: L’esame dura solo pochi minuti e non richiede tempi di recupero.
  • Elevata precisione diagnostica: Le immagini radiografiche permettono di rilevare anche minime alterazioni strutturali.
  • Sicurezza: L’esposizione ai raggi X è limitata e regolamentata per garantire la massima sicurezza del paziente.
  • Nessuna preparazione speciale richiesta: Il paziente può continuare le proprie attività quotidiane prima e dopo l’esame.

Controindicazioni e precauzioni per l’esame RX Gomito

L’esame RX Gomito è generalmente sicuro per la maggior parte dei pazienti. Tuttavia, in caso di gravidanza o sospetto di essa, è fondamentale informare il medico prima di eseguire l’esame, poiché l’esposizione ai raggi X potrebbe essere dannosa per il feto. Al Poliambulatorio S-Medical Group di Sora, adottiamo tutte le misure necessarie per minimizzare i rischi e garantire la massima sicurezza durante ogni procedura diagnostica.

Frequenza e modalità dell’esame RX Gomito

La necessità di ripetere un RX Gomito dipende dalla condizione clinica e dalla valutazione medica. In genere, questo esame viene prescritto per monitorare il decorso di una frattura, valutare l’efficacia di un trattamento o indagare su dolori o altri sintomi persistenti. Il tuo medico sarà in grado di fornire indicazioni specifiche sulla frequenza degli esami in base alle tue esigenze.

Preparazione all’esame RX Gomito

Nella maggior parte dei casi, non è richiesta una preparazione particolare per l’RX Gomito. Tuttavia, è consigliabile rimuovere gioielli e accessori metallici dal braccio da esaminare, poiché potrebbero interferire con la qualità dell’immagine radiografica. Se hai domande specifiche sulla preparazione, il personale del Poliambulatorio S-Medical Group di Sora sarà felice di fornirti tutte le informazioni necessarie.

Conclusioni

L’esame RX Gomito è una procedura diagnostica efficace e sicura, ideale per individuare lesioni o patologie che interessano l’articolazione del gomito. Presso il Poliambulatorio S-Medical Group di Sora, i nostri specialisti garantiscono un’assistenza di qualità e un percorso di cura personalizzato. Se hai bisogno di eseguire un RX Gomito o desideri ulteriori informazioni, contattaci per prenotare il tuo appuntamento.

Domande Frequenti sull’RX Gomito

Quanto dura l’esame RX Gomito?

L’esame RX Gomito richiede in media tra i 5 e i 10 minuti.

È doloroso sottoporsi a un RX Gomito?

No, l’RX Gomito è completamente indolore. Potresti percepire un leggero fastidio solo nella fase di posizionamento del braccio.

Serve una prescrizione medica per eseguire un RX Gomito?

Sì, è necessaria una prescrizione medica per effettuare l’esame presso il Poliambulatorio S-Medical Group di Sora.

Ci sono preparazioni particolari da seguire prima dell’esame?

In genere no, a meno che il medico non fornisca indicazioni diverse. È sempre consigliato evitare accessori metallici.

L’esposizione ai raggi X è sicura?

Sì, le dosi di radiazioni utilizzate sono minime e regolamentate per garantire la sicurezza del paziente.

Per ulteriori informazioni o per prenotare una visita, contatta il Poliambulatorio S-Medical Group di Sora. Siamo qui per rispondere a tutte le tue domande e offrirti il supporto necessario!

SCEGLI UN METODO DI CONTATTO

WHATSAPP

Scrivici Siamo Disponibili
dalle 7:30 alle 20:00

NUMERO DI TELEFONO
3923417667 

TELEFONO

Chiamaci Siamo Disponibili
dalle 7:30 alle 20:00

NUMERI DI TELEFONO
07761828287
3923417667

VIA MAIL

con il numero di telefono e i dettagli della prenotazione

S-Medical Group di Sora
è convenzionato con tutte le principali Compagnie Assicurative, Fondi Sanitari Integrativi
e Casse Mutua

S-Medical Group di Sora è convenzionato con tutte le principali Compagnie Assicurative, Fondi Sanitari Integrativi e Casse Mutua

Assicurazioni e Fondi Sanitari Integrativi

Assicurazioni e Fondi Sanitari Integrativi

Sai di essere in possesso di un fondo di assistenza sanitaria integrativa?

Molti contratti collettivi lo prevedono!

Anche tu potresti già averlo e non saperlo!

Puoi accedere a prestazioni sanitarie come visite specialistiche e odontoiatriche,
esami diagnostici, fino a grandi interventi e ricoveri programmati con:

orologio.jpg

Tempi di attesa ridotti
Attraverso un servizio di consulenza, avrai accesso in maniera rapida a tutti i servizi del Medical Group

euro.jpg

Rimborso diretto o indiretto
Una modalità che ti permette di non pagare la prestazione, la terapia, e l’intervento chirurgico

relax.jpg

Consulenza personalizzata
Sono disponibili dei consulenti che supporteranno il paziente durante il suo percorso nel Medical Group

Assicurazioni e Fondi Sanitari Integrativi

Assicurazioni e Fondi Sanitari Integrativi

Sai di essere in possesso di un fondo di assistenza sanitaria integrativa?

Molti contratti collettivi lo prevedono!

Anche tu potresti già averlo e non saperlo!

Form Prenotazioni Completo Esami diagnostici