RX Esofago con Doppio Contrasto
S-Medical Group Sora

INDICE

Prenota ora il tuo Esame Rx Esofago con Doppio Contrasto in uno dei Centri del Medical Groupaffidati ai Migliori Specialisti.

Introduzione

Quando si sospettano problemi legati all’esofago, è fondamentale effettuare un esame diagnostico approfondito per individuare con precisione la causa dei sintomi. L’Esame RX Esofago con doppio contrasto è una procedura che garantisce risultati accurati e dettagliati, permettendo di identificare patologie come ulcere, tumori o stenosi esofagee. Presso il Poliambulatorio S-Medical Group di Sora, i pazienti possono contare su un team di professionisti specializzati e su strumentazioni all’avanguardia per ottenere un’analisi diagnostica di alto livello.

Cos’è l’Esame RX Esofago con Doppio Contrasto?

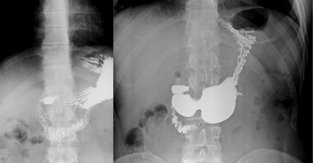
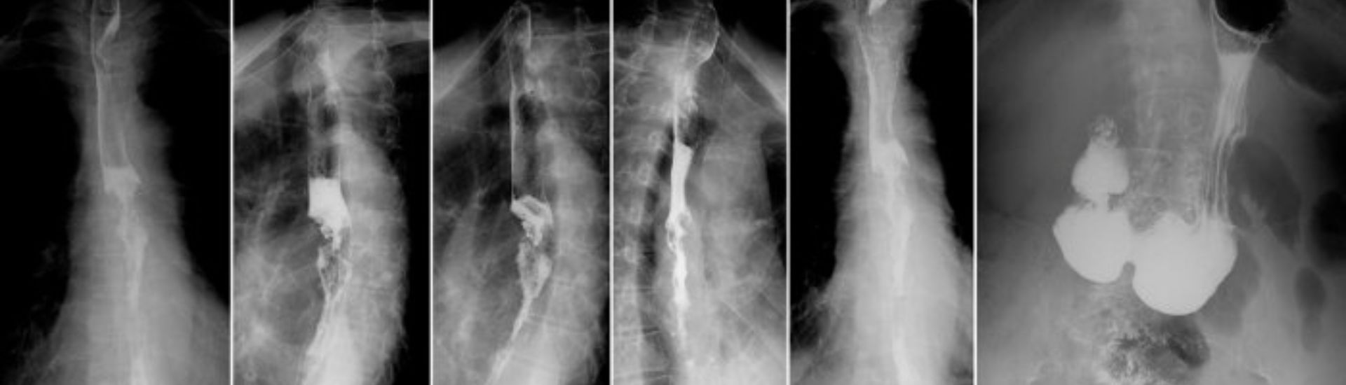
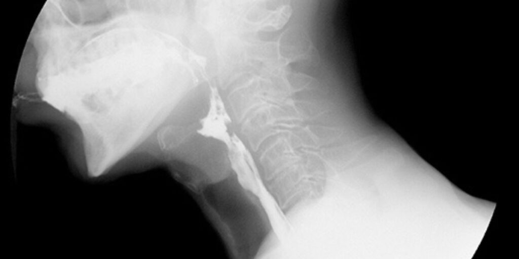
L’Esame RX Esofago con doppio contrasto è una tecnica radiologica avanzata che utilizza un mezzo di contrasto per visualizzare chiaramente le pareti dell’esofago. Questa procedura prevede l’assunzione di una soluzione di contrasto negativo, seguita dall’introduzione di aria, che permette di ottenere un’immagine nitida e dettagliata della superficie interna dell’esofago. Tale metodo è particolarmente utile per identificare lesioni e anomalie che potrebbero non essere visibili con altre tecniche diagnostiche.

Qual è lo Scopo dell’Esame RX Esofago con Doppio Contrasto?

L’Esame RX Esofago con doppio contrasto ha l’obiettivo di analizzare in maniera approfondita la struttura dell’esofago, fornendo immagini chiare che consentono al medico di rilevare eventuali alterazioni o patologie. Grazie a questa tecnica, è possibile diagnosticare tempestivamente condizioni come:

  • Ulcere: piccole erosioni della mucosa esofagea che possono derivare da reflusso gastroesofageo o infezioni.
  • Stenosi: restringimenti del lume esofageo che ostacolano la deglutizione.
  • Tumori esofagei: masse anomale che richiedono una diagnosi precoce e accurata.
  • Ernie del diaframma: protrusioni dello stomaco attraverso il diaframma che possono causare dolore e difficoltà digestive.

Come Viene Eseguito l’Esame RX Esofago con Doppio Contrasto?

Durante l’esecuzione dell’Esame RX Esofago con doppio contrasto, il paziente assume una soluzione di contrasto che aderisce alle pareti dell’esofago, rendendole visibili ai raggi X. Successivamente, viene introdotta aria nell’esofago tramite un sottile tubo, creando un contrasto che permette di osservare con chiarezza le strutture esofagee. Il radiologo acquisisce diverse immagini in varie posizioni del paziente per ottenere una visione completa dell’esofago e individuare eventuali anomalie o patologie.

Quali Patologie Possono Essere Evidenziate?

L’Esame RX Esofago con doppio contrasto permette di diagnosticare numerose patologie esofagee, tra cui:

  • Esofagite: infiammazione dell’esofago spesso causata da reflusso acido.
  • Ulcere esofagee: lesioni erosive che possono portare a sanguinamento e dolore.
  • Neoplasie: identificazione di tumori benigni o maligni.
  • Ernie iatali: anomalie strutturali in cui una parte dello stomaco risale attraverso il diaframma.

Grazie a questa procedura, è possibile ottenere informazioni essenziali per pianificare il trattamento più adeguato e monitorare l’evoluzione della patologia nel tempo.

Preparazione all’Esame RX Esofago con Doppio Contrasto

Prima di sottoporsi all’Esame RX Esofago con doppio contrasto, potrebbe essere necessario seguire alcune indicazioni specifiche fornite dal medico. Solitamente, si consiglia di:

  • Digiunare per alcune ore prima dell’esame.
  • Sospendere l’assunzione di farmaci che potrebbero interferire con la procedura.
  • Evitare il consumo di cibi o bevande che possono alterare i risultati dell’esame.

È importante seguire tutte le istruzioni fornite dal personale medico del Poliambulatorio S-Medical Group di Sora per garantire che l’esame venga eseguito correttamente e che i risultati siano il più accurati possibile.

Indicazioni e Controindicazioni

Indicazioni

L’Esame RX Esofago con doppio contrasto è indicato per chi presenta sintomi come:

  • Difficoltà nella deglutizione (disfagia).
  • Sensazione di bruciore dietro lo sterno.
  • Dolori toracici di natura non cardiaca.
  • Episodi ricorrenti di reflusso acido.

Controindicazioni

Nonostante l’esame sia generalmente sicuro, esistono alcune controindicazioni, come:

  • Allergia ai mezzi di contrasto.
  • Gravidanza (a meno che non sia strettamente necessario).
  • Condizioni respiratorie gravi.

I pazienti devono informare il proprio medico di eventuali allergie o condizioni preesistenti per valutare se l’esame sia appropriato.

Conclusioni

L’Esame RX Esofago con doppio contrasto è uno strumento diagnostico efficace e sicuro per individuare le patologie esofagee. Presso il Poliambulatorio S-Medical Group di Sora, i pazienti possono contare su un servizio di alta qualità, supportato da tecnologie all’avanguardia e da un team di professionisti dedicati. Effettuare questo esame significa avere accesso a una diagnosi accurata e personalizzata, necessaria per trattare in modo efficace eventuali disturbi esofagei e migliorare la qualità della vita.

Domande Frequenti sull’Esame RX Esofago con Doppio Contrasto

Dove posso prenotare l’Esame RX Esofago con Doppio Contrasto presso il Poliambulatorio S-Medical Group di Sora?

Puoi prenotare l’esame contattando il Poliambulatorio S-Medical Group di Sora al numero 0775 487906 oppure visitando il sito web ufficiale.

Quali patologie possono essere identificate con l’Esame RX Esofago con Doppio Contrasto?

L’Esame RX Esofago con doppio contrasto consente di individuare patologie come ulcere, neoplasie, stenosi esofagee, ernie iatali e reflusso gastroesofageo.

Quali sono i vantaggi di sottoporsi all’Esame RX Esofago con Doppio Contrasto presso il Poliambulatorio S-Medical Group di Sora?

Presso il Poliambulatorio S-Medical Group di Sora, i pazienti possono beneficiare di tecnologie diagnostiche avanzate e di un team di specialisti esperti, garantendo un’esperienza diagnostica precisa e confortevole.

L’Esame RX Esofago con Doppio Contrasto è coperto da assicurazioni sanitarie?

Sì, il Poliambulatorio S-Medical Group di Sora è convenzionato con numerose assicurazioni sanitarie. Si consiglia di verificare con il proprio fornitore di assistenza sanitaria la copertura specifica.

Quali sono i rischi associati all’Esame RX Esofago con Doppio Contrasto?

L’Esame RX Esofago con doppio contrasto è considerato sicuro e privo di rischi significativi. Tuttavia, in rari casi, alcuni pazienti potrebbero sperimentare reazioni allergiche alla soluzione di contrasto o sensazioni di fastidio durante l’introduzione dell’aria.

SCEGLI UN METODO DI CONTATTO

WHATSAPP

Scrivici Siamo Disponibili
dalle 7:30 alle 20:00

NUMERO DI TELEFONO
3923417667 

TELEFONO

Chiamaci Siamo Disponibili
dalle 7:30 alle 20:00

NUMERI DI TELEFONO
07761828287
3923417667

VIA MAIL

con il numero di telefono e i dettagli della prenotazione

S-Medical Group di Sora
è convenzionato con tutte le principali Compagnie Assicurative, Fondi Sanitari Integrativi
e Casse Mutua

S-Medical Group di Sora è convenzionato con tutte le principali Compagnie Assicurative, Fondi Sanitari Integrativi e Casse Mutua

Assicurazioni e Fondi Sanitari Integrativi

Assicurazioni e Fondi Sanitari Integrativi

Sai di essere in possesso di un fondo di assistenza sanitaria integrativa?

Molti contratti collettivi lo prevedono!

Anche tu potresti già averlo e non saperlo!

Puoi accedere a prestazioni sanitarie come visite specialistiche e odontoiatriche,
esami diagnostici, fino a grandi interventi e ricoveri programmati con:

orologio.jpg

Tempi di attesa ridotti
Attraverso un servizio di consulenza, avrai accesso in maniera rapida a tutti i servizi del Medical Group

euro.jpg

Rimborso diretto o indiretto
Una modalità che ti permette di non pagare la prestazione, la terapia, e l’intervento chirurgico

relax.jpg

Consulenza personalizzata
Sono disponibili dei consulenti che supporteranno il paziente durante il suo percorso nel Medical Group

Assicurazioni e Fondi Sanitari Integrativi

Assicurazioni e Fondi Sanitari Integrativi

Sai di essere in possesso di un fondo di assistenza sanitaria integrativa?

Molti contratti collettivi lo prevedono!

Anche tu potresti già averlo e non saperlo!

Form Prenotazioni Completo Esami diagnostici