Risonanza Magnetica Encefalo e Tronco Encefalico
S-Medical Group Sora

INDICE

Prenota ora il tuo Esame Risonanza Magnetica Encefalo e Tronco Encefalico in uno dei Centri del Medical Groupaffidati ai Migliori Specialisti.

Introduzione

La Risonanza Magnetica Encefalo e Tronco Encefalico rappresenta un esame diagnostico di ultima generazione offerto dal Poliambulatorio S-Medical Group di Sora. Questa struttura medica è riconosciuta per l’eccellenza dei servizi sanitari forniti alla comunità. In questo articolo, analizzeremo nel dettaglio la Risonanza Magnetica Encefalo e Tronco Encefalico, evidenziando le peculiarità della procedura e i vantaggi di scegliere il Poliambulatorio S-Medical Group di Sora per questo tipo di esame.

Che cos’è la Risonanza Magnetica Encefalo e Tronco Encefalico?

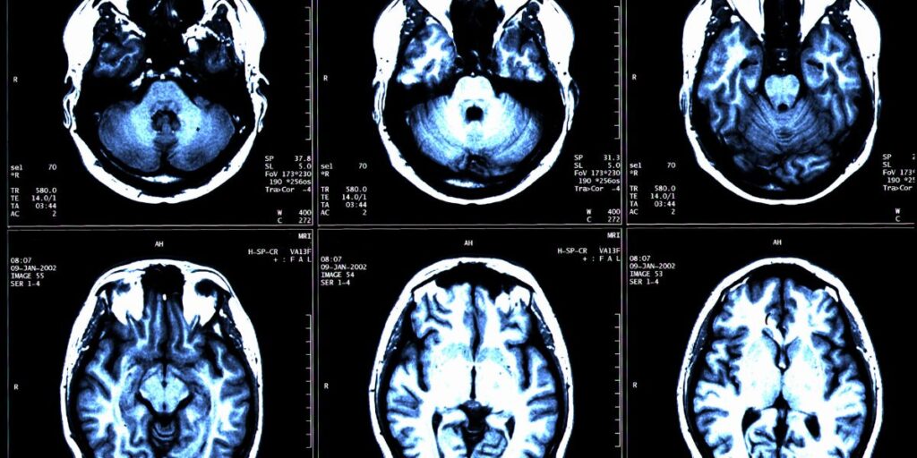
La Risonanza Magnetica Encefalo e Tronco Encefalico, nota anche come RMN encefalo e tronco encefalico, è una tecnologia di imaging medico avanzata che consente di ottenere immagini altamente dettagliate del cervello e del tronco encefalico. Presso il Poliambulatorio S-Medical Group di Sora, questo esame viene effettuato utilizzando strumenti moderni e con il supporto di un team di esperti altamente qualificati.

A cosa serve la Risonanza Magnetica Encefalo e Tronco Encefalico?

Questo tipo di Risonanza Magnetica Encefalo e Tronco Encefalico è uno strumento diagnostico versatile, in grado di fornire informazioni cruciali per diverse condizioni che colpiscono il cervello e il tronco encefalico. Grazie a tecnologie di imaging all’avanguardia, il Poliambulatorio S-Medical Group di Sora è in grado di rilevare tumori cerebrali, lesioni traumatiche, malattie neurologiche, malformazioni vascolari e altre patologie significative.

Come funziona la Risonanza Magnetica Encefalo e Tronco Encefalico?

Durante una Risonanza Magnetica Encefalo e Tronco Encefalico presso il Poliambulatorio S-Medical Group di Sora, il paziente è collocato all’interno di un’apparecchiatura che assume la forma di un tunnel, nota come macchina a risonanza magnetica. Questa macchina emette campi magnetici che interagiscono con i protoni nel corpo. Successivamente, tramite onde radio, si generano segnali che vengono captati dalla macchina e trasformati in immagini dettagliate del cervello e del tronco encefalico.

Cosa si può osservare con la Risonanza Magnetica Encefalo e Tronco Encefalico?

La Risonanza Magnetica Encefalo e Tronco Encefalico fornisce immagini di alta definizione delle strutture cerebrali. L’esame consente di visualizzare i lobi cerebrali, i ventricoli e il tronco encefalico, insieme ad altre aree cruciali del cervello. Presso il Poliambulatorio S-Medical Group di Sora, i medici possono ottenere immagini chiare e dettagliate, utili per identificare anomalie come tumori o altre condizioni patologiche.

Effetti della Risonanza Magnetica Encefalo e Tronco Encefalico sul corpo

La Risonanza Magnetica Encefalo e Tronco Encefalico è una procedura non invasiva e non presenta effetti collaterali dannosi. Non utilizza radiazioni ionizzanti, il che la rende sicura. È fondamentale, tuttavia, rimuovere oggetti metallici prima dell’esame, poiché il campo magnetico potrebbe interferire con tali materiali. Il Poliambulatorio S-Medical Group di Sora assicura un ambiente sicuro e confortevole durante la risonanza magnetica.

Come avviene il trasferimento energetico durante la Risonanza Magnetica Encefalo e Tronco Encefalico?

Durante la Risonanza Magnetica Encefalo e Tronco Encefalico, l’energia si trasferisce attraverso l’interazione tra i campi magnetici e i protoni nel corpo. Le onde radio disturbano l’allineamento dei protoni, che rilasciano energia tornando alla loro posizione originale. Questa energia viene poi captata dalla macchina a risonanza magnetica e utilizzata per generare immagini dettagliate del cervello e del tronco encefalico.

Procedura per eseguire una Risonanza Magnetica Encefalo e Tronco Encefalico

Per sottoporsi a una Risonanza Magnetica Encefalo e Tronco Encefalico presso il Poliambulatorio S-Medical Group di Sora, è necessaria una prenotazione. Durante l’esame, il paziente viene assistito in una sala dedicata da personale altamente qualificato. Il paziente è posizionato all’interno dell’apparecchiatura che emette i campi magnetici e le onde radio per ottenere le immagini richieste. Il team medico del Poliambulatorio S-Medical Group di Sora è sempre presente per garantire comfort e sicurezza.

Quando è necessaria una Risonanza Magnetica Encefalo e Tronco Encefalico?

La necessità di effettuare una Risonanza Magnetica Encefalo e Tronco Encefalico varia in base ai sintomi e alle condizioni cliniche del paziente. Il medico curante può raccomandare questo esame per diagnosticare e monitorare malattie come tumori cerebrali, malattie neurologiche, infiammazioni e lesioni traumatiche. Al Poliambulatorio S-Medical Group di Sora, un team esperto valuterà le esigenze individuali del paziente per offrire la migliore assistenza.

La Risonanza Magnetica Encefalo e Tronco Encefalico è coperta da assicurazioni sanitarie?

Il Poliambulatorio S-Medical Group di Sora collabora con i principali fondi di assistenza sanitaria e assicurazioni sanitarie. Questo significa che molti pazienti possono accedere alla Risonanza Magnetica Encefalo e Tronco Encefalico attraverso il proprio piano di copertura sanitaria. È sempre consigliato verificare le specifiche coperture con il proprio assicuratore prima di procedere con l’esame.

Preparazione per la Risonanza Magnetica Encefalo e Tronco Encefalico

Prima di sottoporsi a una Risonanza Magnetica Encefalo e Tronco Encefalico presso il Poliambulatorio S-Medical Group di Sora, potrebbe essere necessario seguire alcune indicazioni preparatorie. Queste possono includere il digiuno per un certo periodo e la rimozione di oggetti metallici, come gioielli o orologi. È cruciale seguire le istruzioni del personale medico per assicurare il corretto svolgimento dell’esame.

Patologie evidenziabili tramite Risonanza Magnetica Encefalo e Tronco Encefalico

La Risonanza Magnetica Encefalo e Tronco Encefalico consente di diagnosticare diverse patologie, come tumori cerebrali, malformazioni vascolari, sclerosi multipla, emorragie e lesioni traumatiche. Le immagini dettagliate ottenute attraverso questo esame, disponibili al Poliambulatorio S-Medical Group di Sora, permettono ai medici di effettuare diagnosi accurate e pianificare trattamenti adeguati.

Controindicazioni per la Risonanza Magnetica Encefalo e Tronco Encefalico

Nonostante la Risonanza Magnetica Encefalo e Tronco Encefalico sia considerata sicura, esistono alcune controindicazioni. Pazienti con pacemaker o dispositivi medici impiantati potrebbero non essere idonei per l’esame. È essenziale comunicare eventuali condizioni preesistenti o dispositivi impiantati al personale medico prima della procedura.

Frequenza consigliata per la Risonanza Magnetica Encefalo e Tronco Encefalico

La frequenza con cui effettuare una Risonanza Magnetica Encefalo e Tronco Encefalico dipende dalle necessità cliniche del paziente. In alcuni casi, può essere sufficiente un solo esame, mentre in altre situazioni è necessario un monitoraggio regolare per valutare l’evoluzione di una patologia o l’efficacia di un trattamento. Il medico del Poliambulatorio S-Medical Group di Sora fornirà indicazioni specifiche basate sulla situazione individuale.

Conclusioni

La Risonanza Magnetica Encefalo e Tronco Encefalico è una risorsa diagnostica fondamentale per l’analisi delle condizioni cerebrali e del tronco encefalico. Presso il Poliambulatorio S-Medical Group di Sora, i pazienti possono usufruire di un servizio di alta qualità, grazie alla competenza di professionisti e all’utilizzo di attrezzature moderne. Se necessitate di una Risonanza Magnetica Encefalo e Tronco Encefalico, il Poliambulatorio S-Medical Group di Sora è la scelta ideale per ricevere assistenza di elevato standard.

Domande Frequenti e FAQs

Quanto dura una Risonanza Magnetica Encefalo e Tronco Encefalico presso il Poliambulatorio S-Medical Group di Sora?

In genere, la durata di una Risonanza Magnetica Encefalo e Tronco Encefalico è compresa tra 30 e 60 minuti.

Quali sono i benefici di sottoporsi a una Risonanza Magnetica Encefalo e Tronco Encefalico presso il Poliambulatorio S-Medical Group di Sora?

Sottoporsi a una Risonanza Magnetica Encefalo e Tronco Encefalico presso il Poliambulatorio S-Medical Group di Sora significa avere accesso a attrezzature avanzate e al supporto di un team medico altamente qualificato, garantendo diagnosi accurate e trattamenti efficaci.

Cosa devo fare se ho dispositivi medici impiantati e devo sottopormi a una Risonanza Magnetica Encefalo e Tronco Encefalico?

Se possiedi dispositivi medici impiantati, è fondamentale comunicare questa informazione al personale del Poliambulatorio S-Medical Group di Sora prima dell’esame, per ricevere indicazioni specifiche sulla compatibilità dell’esame con i dispositivi.

Posso prenotare una Risonanza Magnetica Encefalo e Tronco Encefalico direttamente presso il Poliambulatorio S-Medical Group di Sora?

Sì, è possibile prenotare una Risonanza Magnetica Encefalo e Tronco Encefalico direttamente al Poliambulatorio S-Medical Group di Sora. È consigliabile contattare la struttura tramite i recapiti forniti o utilizzare il sistema di prenotazione online.

Quali vantaggi offre il Poliambulatorio S-Medical Group di Sora per la Risonanza Magnetica Encefalo e Tronco Encefalico?

Il Poliambulatorio S-Medical Group di Sora fornisce un’esperienza di alta qualità per la Risonanza Magnetica Encefalo e Tronco Encefalico. Grazie a professionisti esperti e a tecnologie moderne, i pazienti possono beneficiare di diagnosi precise e di trattamenti personalizzati.

SCEGLI UN METODO DI CONTATTO

WHATSAPP

Scrivici Siamo Disponibili
dalle 7:30 alle 20:00

NUMERO DI TELEFONO
3923417667 

TELEFONO

Chiamaci Siamo Disponibili
dalle 7:30 alle 20:00

NUMERI DI TELEFONO
07761828287
3923417667

VIA MAIL

con il numero di telefono e i dettagli della prenotazione

S-Medical Group di Sora
è convenzionato con tutte le principali Compagnie Assicurative, Fondi Sanitari Integrativi
e Casse Mutua

S-Medical Group di Sora è convenzionato con tutte le principali Compagnie Assicurative, Fondi Sanitari Integrativi e Casse Mutua

Assicurazioni e Fondi Sanitari Integrativi

Assicurazioni e Fondi Sanitari Integrativi

Sai di essere in possesso di un fondo di assistenza sanitaria integrativa?

Molti contratti collettivi lo prevedono!

Anche tu potresti già averlo e non saperlo!

Puoi accedere a prestazioni sanitarie come visite specialistiche e odontoiatriche,
esami diagnostici, fino a grandi interventi e ricoveri programmati con:

orologio.jpg

Tempi di attesa ridotti
Attraverso un servizio di consulenza, avrai accesso in maniera rapida a tutti i servizi del Medical Group

euro.jpg

Rimborso diretto o indiretto
Una modalità che ti permette di non pagare la prestazione, la terapia, e l’intervento chirurgico

relax.jpg

Consulenza personalizzata
Sono disponibili dei consulenti che supporteranno il paziente durante il suo percorso nel Medical Group

Assicurazioni e Fondi Sanitari Integrativi

Assicurazioni e Fondi Sanitari Integrativi

Sai di essere in possesso di un fondo di assistenza sanitaria integrativa?

Molti contratti collettivi lo prevedono!

Anche tu potresti già averlo e non saperlo!

Form Prenotazioni Completo Esami diagnostici